Звонят другие стоматологии?

остерегайтесь мошенников!

остановить спам!
+7 (831) 214-10-66
4 клиники в Нижнем Новгороде
4 клиники в Нижнем Новгороде
Пн.-Сб.: с 8:00 до 20:00,
Вс.: с 8:00 до 18:00

Практикует в России и за рубежом

В работе применяет инновационные методики и материалы нового поколения
Стаж:
5 лет
Опыт:
4500+ работ
ТВеселов Алексей Викторович в клинике ARTDENT

Образование и повышение квалификации

Образование
Стоматолог-ортопед
Ординатура по ортопедии, НИУ 'БелГУ'
Курсы
АДГЕЗИВНЫЕ КЕРАМИЧЕСКИЕ РЕСТАВРАЦИИ. ВИНИРЫ. КОРОНКИ. НАКЛАДКИ
ОСОБЕННОСТИ ПРОТЯЖЕННЫХ ЦИРКОНИЕВЫХ КОНСТРУКЦИЙ НА ИМПЛАНТАТАХ
Разоблачение полного съемного протезирования
Показать еще

Лицензии и сертификаты

Примеры работ и отзывы пациентов

4500+ пациентов с 2021 года
работы наших врачей
работы наших врачей
Пациент +7-930-78XXXXX
Отзыв с ya.ru

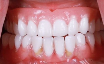
К ортопеду я пришла с четким запросом: хотелось улучшить улыбку. Очень боялась, что виниры будут выглядеть слишком белыми или одинаковыми. На консультации врач подробно расспросил о моих ожиданиях, показал примеры работ, объяснил, как подбираются форма и цвет. Мы обсуждали каждую деталь, линию улыбки, длину зубов, прозрачность. На этапах примерок ортопед несколько раз вносил правки, чтобы результат был максимально естественным. В итоге виниры выглядят как свои зубы, просто более ровные и аккуратные. Улыбка изменилась, но при этом осталась моей. Это именно та работа, за которую хочется сказать спасибо врачу.

работы наших врачей
работы наших врачей
Пациент +7-930-78XXXXX
Отзыв с ya.ru

Импланты мне устанавливали у хирурга, но конечный результат, как я теперь понимаю, полностью зависит от ортопеда. Именно он отвечает за то, насколько удобно, красиво и правильно будут выглядеть зубы. Ортопед очень внимательно подошёл к планированию: учитывал прикус, положение губ, как я разговариваю и улыбаюсь. На этапе временного протеза мы всё обсуждали и корректировали, врач подробно объяснял, почему важны те или иные изменения. Постоянный протез получился не только эстетичным, но и очень удобным.

работы наших врачей
работы наших врачей
Пациент +7-930-78XXXXX
Отзыв с zoon.ru

Я обратился к стоматологу для установки коронок на жевательный и передний зуб. Для меня было важно, чтобы жевательный зуб восстанавливал свою функциональность и не вызывал дискомфорта при использовании. Врач предложил оптимальные материалы для обеих коронок, объяснив, как выбор каждого из них влияет на прочность и эстетику. Он также учел высоту и смыкание зубов, что обеспечило комфорт при жевании и естественный вид переднего зуба. После установки обе коронки отлично справляются со своими задачами, и я чувствую значительное улучшение!