Нет. Самостоятельная фиксация может повредить зуб или саму конструкцию. Лучше сохранить ее, а также как можно быстрее обратиться к стоматологу.
остерегайтесь мошенников!
Главное сейчас — не пытайтесь приклеить коронку самостоятельно. Запишитесь на консультацию в клинику: стоматолог проведёт диагностику, оценит состояние зуба и решит, нужно ли лечить каналы, можно ли использовать старую коронку или потребуется изготовить новую.
Смотрите видео об этом – установка коронки на зуб.
Если коронка слетела с зуба – ее нужно как можно скорее вернуть. Каждый день промедления может усложнить ситуацию – зуб может сколоться, а сама конструкция — деформироваться или повредиться. Чем раньше вы обратитесь, тем проще, быстрее, дешевле будет лечение.
Установить выпавшую конструкцию обратно возможно, если она не треснула, не деформировалась, а зуб под ней остался целым. Стоматолог проведет осмотр, сделает рентген, чтобы оценить состояние конструкции, основания. Если все в порядке – зафиксирует повторно без замены.
Повторная установка невозможна, если коронка:
треснула, деформировалась или сильно износилась;
выпала вместе со штифтом или культевой вкладкой — потребуется замена;
остались остатки цемента, которые невозможно полностью удалить — необходимо новое протезирование.
Пока вы ждете приема у стоматолога, важно не навредить себе. Некоторые действия могут сохранить конструкцию, облегчить лечение, другие — только усугубить. Ниже — простые рекомендации, что делать можно, а чего лучше избегать.
Аккуратно промыть коронку теплой кипяченой водой (без чистящих средств).
Хранить в чистом, сухом, закрытом контейнере.
Осторожно полоскать рот антисептическим раствором (хлоргексидин или солевой раствор).
Есть на противоположной стороне, избегая жесткой, липкой пищи.
При болевых ощущениях — принять обезболивающее, не разжевывая на проблемной стороне.
Записаться на прием к врачу в ближайшие дни.
Пытаться приклеить конструкцию самостоятельно.
Надевать ее обратно без стерильности и без понимания, как она должна стоять.
Игнорировать проблему в надежде, что "как-нибудь само пройдет".
Жевать на стороне без протеза — это может повредить оголенный зуб или десну.
Использовать острые предметы для удаления остатков цемента или пищи.
Прогревать или кипятить изделие — это может его деформировать.
Временные конструкции менее прочные, чем постоянные, и часто фиксируются на упрощенный цемент. Вот основные причины их выпадения:
неплотное прилегание протеза к культе зуба;
неправильная форма культи — если зуб не имеет достаточной высоты или ретенции, конструкция не держится;
использование временного цемента, который со временем вымывается;
ошибки при примерке — если изделие было временно установлено «а скорую руку», без точной подгонки;
недостаточная точность изготовления при прямом методе;
ослабление винта в случае фиксации на импланте;
влияние слюны, а также жевательной нагрузки на удержание конструкции.
Даже постоянные протезы со временем могут выпадать по разным причинам. Среди них как естественные процессы, так и ошибки при их изготовлении/установке:
наличие щелей между протезом и культеобразующим зубом;
разрушение дентина под коронкой из-за микроподтекания цемента, развития кариеса;
нарушение технологии цементирования при фиксации;
использование некачественных или неподходящих материалов;
хрупкость или недостаточная подготовка опорного зуба;
недостаточная ретенция конструкции — плохое удержание протеза;
повреждение цельнолитой коронки под жевательной нагрузкой;
травмы или резкие удары по зубу с протезом;
несоблюдение рекомендаций врача по уходу, питанию.
Правильное изготовление и своевременный контроль помогают свести риск выпадения к минимуму.
Типичные причины, из-за которых протез может сломаться:
механические повреждения при жевании твердой или жесткой пищи;
травмы зуба или челюсти — удары, падения;
производственные дефекты или брак материала;
износ материала со временем;
неправильная подготовка зуба перед установкой;
неравномерное распределение жевательной нагрузки;
бруксизм — привычка скрежетать зубами во сне;
использование некачественных или дешевых материалов;
ошибки при установке, фиксации.
Понимание причин помогает предотвратить поломки, продлить срок службы протеза.
Это указывает на более серьезные повреждения зуба и требует особого подхода к лечению. Возможные последствия и варианты решения:
перегрузка штифта из-за неравномерного распределения жевательной нагрузки;
повреждение или расшатывание металлического штифта;
рассасывание или потеря фиксации цемента, удерживающего штифт;
риск перелома или разрушения корня зуба;
в некоторых случаях может потребоваться удаление зуба;
необходимость замены штифта или переход к другим методам протезирования;
комплексный подход с участием нескольких специалистов для восстановления зуба.
Своевременное обращение к стоматологу поможет выбрать лечение, сохранить зуб.
Если изделие держится на культевой вкладке, его выпадение часто говорит о нарушениях в конструкции или установке. Возможные причины:
ошибки при подготовке корневых каналов под вкладку;
недостаточное прилегание вкладки к стенкам канала;
анатомические особенности корней или их изгиб, мешающий надежной фиксации;
использование некачественного клеящего материала;
нарушение технологии при изготовлении вкладки в лаборатории;
перегрузка конструкции при жевании или прикусывании твердой пищи;
неравномерное распределение нагрузки между зубами;
микроподтекание цемента, развитие кариеса в области контакта вкладки и зуба.
Выпадение вкладки с протезом требует точной диагностики и, как правило, повторного протезирования.
Когда пациент обращается с выпавшей коронкой, врач действует поэтапно, чтобы определить причину, восстановить конструкцию. Вот как обычно проходит лечение:
Осмотр и рентген — врач оценивает состояние опорного зуба, штифта или импланта.
Оценка целостности изделия — если оно не повреждено, возможна повторная фиксация.
Удаление остатков старого цемента — важно обеспечить надежную посадку при повторной установке.
Повторное приклеивание — временного или постоянного протеза, если это возможно.
Замена штифта или вкладки — в случае повреждения или потери фиксации.
Подготовка новой конструкции — если старую восстановить невозможно.
Протезировании зуба — если опорный зуб разрушен или его невозможно восстановить.
Чем быстрее пациент обращается за помощью, тем выше шанс обойтись без сложного, дорогого лечения.
Чтобы они служили как можно дольше и не выпадали в самый неожиданный момент, важно уделять внимание профилактике. Основные меры:
Соблюдайте гигиену полости рта — регулярная чистка зубов, использование дополнительных средств ухода.
Очищайте зону вокруг протезов особенно тщательно — налет в этой области может привести к воспалению десны, расцементировке.
Пользуйтесь ирригатором, антисептическими ополаскивателями — они удаляют остатки пищи, укрепляют здоровье десен.
Старайтесь не перегружать вставные конструкции — не ешьте твердую, очень горячую или липкую пищу.
Следите за прикусом — при необходимости корректируйте его с врачом.
Проходите профилактический осмотр дважды в год — врач вовремя заметит проблемы и устранит их.
Если чувствуете подвижность протеза, то сразу записывайтесь к врачу — это может спасти зуб от более серьезного вмешательства.
Откажитесь от вредных привычек — таких как курение или жевание посторонних предметов.
Своевременный уход, регулярный контроль у стоматолога — лучшая профилактика любых проблем с протезами.
Даже если протез не беспокоит, это не повод забывать о визитах к стоматологу. Регулярный осмотр помогает:
Посещать стоматолога для профессиональной чистки зубов желательно раз в 6 месяцев — это надежный способ сохранить здоровье зубов и избежать повторных установок.
В клинике «Ардент» работают опытные врачи с многолетним стажем. При обращении с выпавшим протезом мы применяем комплексный подход, обеспечивая результат:
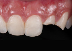
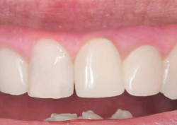
Женщина 28 лет обратилась с жалобой на разрушенный передний зуб, из-за которого стеснялась улыбаться и общаться. Провели удаление зуба, установку импланта и изготовление коронки из диоксида циркония. Результат — естественная улыбка и восстановленная эстетика.
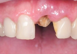
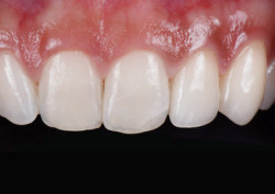
После травмы были сильные сколы двух зубов, мешавшие улыбке и речи. Провели лечение, установили штифты и коронки E-max. Восстановлены форма, эстетика и функция зубов.
Нет. Самостоятельная фиксация может повредить зуб или саму конструкцию. Лучше сохранить ее, а также как можно быстрее обратиться к стоматологу.
Даже если нет боли, откладывать не стоит. Открытый зуб подвержен кариесу, воспалениям и может разрушиться.
Сохраните ее в чистом контейнере, избегайте жевания на этой стороне, полощите рот антисептиком. А утром запишитесь к врачу.
Нежелательно. Особенно твердую или горячую пищу. Лучше ограничиться мягкими продуктами, не жевать на стороне проблемного зуба.
Это серьезная ситуация, но не критичная. Врач оценит состояние корня, предложит подходящее решение — от установки нового штифта до имплантации.
Мы используем cookie, подробнее