Звонят другие стоматологии?

остерегайтесь мошенников!

остановить спам!
+7 (831) 214-10-66
4 клиники в Нижнем Новгороде
4 клиники в Нижнем Новгороде
Пн.-Сб.: с 8:00 до 20:00,
Вс.: с 8:00 до 18:00
image
Только у нас — лазерные технологии

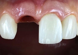
Что такое имплантация зубов?

— восстановление утраченного зуба титановым корнем и коронкой
Имплантация зубов в Нижнем Новгороде
В костную ткань челюсти устанавливается имплантат с последующим протезированием зубной коронкой
— имплантация может быть одномоментной или двухэтапной.
Все виды имплантации в одном центре
В Артдент в 2 раза больше решений, чем в средней клинике Москвы
Если нужно сразу восстановить 1 зуб и более за один день
Одномоментно
Удаление зуба и установка импланта с коронкой в одно посещение
Если нужно восстановить зубы, которые давно отсутствуют
Двухэтапно
Установка зубного импланта, протезирование через 3-6 месяцев после приживления
Если нет более 3-х зубов подряд и критическая атрофия кости
Восстановление зубов при критической атрофии кости без синус-лифтинга
Необходимо восстановить челюсть полностью?
Эксперты рекомендуют
Несъёмный протез на 4-х имплантах
Полноценная улыбка за 1 день
Подробнее

Рассчитайте стоимость своего лечения и получите бонусы от клиники

Вам требуется удаление зубов?
Да
Нет
Сложно сказать
На какой челюсти необходимо восстановить зубы?
Верхней
Нижней
Обеих
Есть ли заболевания дёсен?
Да
Нет
Сложно сказать
Когда планировали начать лечение?
В ближайшее время
Через 1-3 месяца
Сложно сказать
  • Снимки КТ двух челюстей

    При лечении в клинике
    5 490 ₽ 0 ₽
  • Бесплатная консультация

    2 000 ₽ 0 ₽

Рассрочка на имплантацию зубов

Воспользуйтесь поэтапной оплатой от клиники без переплат или льготной рассрочкой!
Поэтапная оплата на время лечения
0% без переплат
Рассрочка до 24 мес.
0% ставка

Цены на имплантацию зубов

Стоимость имплантации зависит от нескольких моментов:
  1. Индивидуальной клинической картины
  2. Выбранной методики имплантации
  3. Материала коронок (металлокерамика, диоксид циркония, керамика E-max)
Lenmiriot
Lenmiriot
флаг Россия
Россия
выгодно
Акция
1 зуб «под ключ» до 25 мая
  • Анестезия
  • Заглушка
  • Работа хирурга
  • Лазерная обработка
  • Имплант
  • 24 990 ₽
  • от 29 990 ₽
  • Снятие слепков
  • Работа зубного техника
  • Коронка
  • Металлокерамика
    При необходимости изготовим коронки из диоксида циркония, керамики E-max
  • 51 170 ₽
  • от 38 980 ₽
Артдент
рекомендует
ST
ST
флаг Южная Корея
Южная Корея
доступно
Акция
1 зуб «под ключ» до 25 мая
  • Анестезия
  • Заглушка
  • Работа хирурга
  • Лазерная обработка
  • Имплант
  • 47 990 ₽
  • от 39 990 ₽
  • Снятие слепков
  • Работа зубного техника
  • Коронка
  • Металлокерамика
    При необходимости изготовим коронки из диоксида циркония, керамики E-max
  • 56 090 ₽
  • от 39 480 ₽
Straumann SLA
Straumann SLA
флаг Швейцария
Швейцария
премиум
Акция
1 зуб «под ключ» до 25 мая
  • Анестезия
  • Заглушка
  • Работа хирурга
  • Лазерная обработка
  • Имплант
  • 121 380 ₽
  • от 109 990 ₽
  • Снятие слепков
  • Работа зубного техника
  • Коронка
  • Металлокерамика
    При необходимости изготовим коронки из диоксида циркония, керамики E-max
  • 73 980 ₽
  • от 44 980 ₽

Отзывы пациентов

Имплантация зубов отзывы Нижний Новогород
Имплантация зубов отзывы Артдент
Имплантация зубов отзывы Нижний Новогород
Имплантация зубов отзывы Артдент
Имплантация зубов отзывы Нижний Новогород
Имплантация зубов отзывы Артдент
Имплантация зубов отзывы Нижний Новогород
Имплантация зубов отзывы Артдент
70 385+ ярких улыбок пациентов Артдент
Имплантация зубов отзывы Нижний Новогород
Всё прошло быстро, комфортно и я надолго забыл о зубной боли.
Имплантация зубов отзывы Нижний Новогород
Чувствую себя моложе лет на 20. Это невероятно.
Оценка Артдент на независимых ресурсах

Наши имплантологи

Эксперты-практики со стажем до 34 лет
Ростов Андрей Витальевич
стаж 34 года
Ростов
Андрей Витальевич
Хирург-имплантолог, ортопед
Кандидат медицинских наук с 2006 года
Приём на Белинского
Сухарева Юлия Алексеевна
стаж 12 лет
Сухарева
Юлия Алексеевна
Стоматолог-хирург, имплантолог
6000+ операций
Приём на Совнаркомовской
Шикин Владимир Владимирович
стаж 13 лет
Шикин
Владимир Владимирович
Врач высшей категории, хирург-имплантолог
Участник международных симпозиумов
Приём на Совнаркомовской

Имплантация зубов за 2 приёма

  • Инновационные методики с применением лазера
  • Устанавливаем 1 зубной имплантат не более 20 минут
1 прием 1.5 часа

Комплексное обследование и подготовка

  • Осмотр полости рта и изучение анамнеза
  • Цифровая диагностика: снимки КТ, диагностика аппаратом Velskope
  • Анализ искусственным интеллектом по 122 параметрам
  • Санация полости рта
  • Цифровой слепок сканером
  • Составление плана лечения с индивидуальным подбором методики:

Одномоментная установка импланта и протезирование в один день.

Двухэтапная — с отсроченной нагрузкой через 3-6 месяцев.

Имплантация Нижний Новгород
2 приёма 2 часа

Имплантация и протезирование

  • Удаление подвижных или разрушенных зубов
  • Установка импланта
  • Лазерная обработка для ускоренного приживления
  • Протезирование коронкой (при одномоментной имплантации)
  • Рекомендации по уходу
  • Бесплатные профилактические осмотры
Имплантация Нижний Новгород
Записаться
на первый приём за 0₽

Совет врача:

Подобрать метод имплантации, материал коронки врач сможет только после комплексной диагностики ротовой полости.

Благодаря широкому выбору методик, мы работаем с самыми сложными клиническими случаями и всегда уверены в успешном результате.

Диагностика + консультация при лечении за 0 ₽
Шикин Владимир Владимирович в клинике Артдент
Шикин Владимир Владимирович

Врач высшей категории, хирург-имплантолог

13 лет стажа

До и после

Проводим имплантацию «под ключ» по доступным ценам в Нижнем Новгороде.

  • Имплантация зубов отзывы Нижний Новогород
  • Имплантация зубов отзывы Нижний Новогород
  • Имплантация зубов отзывы Нижний Новогород
  • Имплантация зубов отзывы Нижний Новогород
  • Имплантация зубов отзывы Нижний Новогород
  • Имплантация зубов отзывы Нижний Новогород
  • Имплантация зубов отзывы Нижний Новогород
  • Имплантация зубов отзывы Нижний Новогород

70 385+ ярких улыбок пациентов Артдент

Восстановили два жевательных зуба имплантами Osstem и металлокерамическими коронками

Пациент:

Иван, 34 года

Жалобы пациента:

Потеря 2-х жевательных зубов на нижней челюсти

Что делали:

  • Комплексную цифровую диагностику
  • Провели санацию полости рта
  • Удалили корни зубов
  • Одномоментно установили 2 импланта Osstem и м/к коронки

Результат:

Восстановлена эстетика, жевательная функция на нижней челюсти пациента.

Восстановление переднего зуба имплантом JD и коронкой из диоксида циркония

Пациент:

Альбина, 45 лет

Жалобы пациента:

Потеря переднего зуба из-за травмы, нарушение эстетики улыбки

Что делали:

  • Провели комплексную цифровую диагностику
  • Провели санацию ротовой полости
  • Одномоментно установили имплант JD и временную коронку
  • Через 5 месяцев установили постоянную коронку из диоксида циркония

Результат:

Полностью восстановлена эстетика улыбки, функциональность зуба.

Восстановление двух зубов имплантами Osstem
и коронками из диоксида циркония

Пациент:

Елена, 39 лет

Жалобы пациента:

Отсутствие 2-х зубов подряд, дискомфорт при жевании, нарушение речи

Что делали:

  • Провели комплексную цифровую диагностику
  • Удалили корень зуба и провели санацию ротовой полости
  • Установили импланты Osstem
  • Через 6 месяцев поставили коронки из диоксида циркония

Результат:

Полностью восстановлены эстетика и функциональность зубного ряда.

Имплантация Osstem и протезирование металлокерамическими коронками

Пациент:

Роман, 44 года

Жалобы пациента:

Частичная адентия, проблемы с жеванием, пищеварением, дикцией

Что делали:

  • Провели диагностику и санацию ротовой полости
  • Установили 2 импланта Osstem
  • Через 5 месяцев установили металлокерамические коронки

Результат:

Восстановлены 2 зубные единицы, возвращена эстетика
и жевательная функция

Имплантация верхней челюсти и установка
мостовидного металлокерамического протеза

Пациент:

Глеб, 54 года

Жалобы пациента:

Разрушение нескольких зубов подряд на верхней челюсти, адентия,
проблемы с жеванием, дикцией, психологический дискомфорт

Что делали:

  • Провели диагностику и санацию ротовой полости
  • Удалили корни разрушенных зубов и установили 2 импланта Osstem
  • Через 6 месяцев установили мост на 5 единиц с опорой на импланты

Результат:

Полностью восстановлены жевательная и эстетическая функция зубов верхней челюсти, устранён психологический дискомфорт.

Гарантии в Артдент

Благодаря сверхточному цифровому планированию наши врачи всегда уверены в успешном результате!

All-on-4 имплантация Нижний Новгород

Гарантия до 100 лет

на импланты от производителя

Сервисное обслуживание до 2-х лет

на работу врачей

Сервисное обслуживание до 2-х лет

на коронки / протез

Гарантия честной цены

оплата строго по договору
All-on-4 имплантация Нижний Новгород

Гарантия Артдент в 2 раза выше,
чем требует Минздрав РФ

Показания и противопоказания

Кому показана имплантация? А кому подойдёт альтернативный
метод восстановления зубного ряда? Расскажем подробно.

Киселёв Михаил Андреевич в клинике Артдент

Рассмотрим основные факторы:

Показания
  • Отсутствие одного зуба

    переднего или жевательного

  • Полная адентия

    на одной или двух челюстях

  • Полное разрушение зуба

    с повреждённым корнем

  • Отсутствие нескольких зубов

    единичными промежутками или подряд

  • Съёмные протезы

    вызывают рвотный рефлекс, аллергию

  • Нет концевых зубов

    в ряду

Имплантация Нижний Новгород
Противопоказания
  • Врождённые аномалии

    препятствующие установке

  • Злокачественная опухоль

    в голове или шеи

  • Остеопороз

    и хрупкая костная ткань

  • Аутоиммунные заболевания

    и патологические нарушения

  • Заболевание крови

    кислородное голодание тканей

  • Другие факторы

    психические болезни, беременность, лактация

Противопоказания —
минимальны!

Сегодня лишь сложные хронические заболевания вызывают отторжение имплантов. В остальных случаях приживаемость в Артдент — 99,8%.

Вопросы - ответы об имплантации

01
Лазерная имплантация — больно?

Лазерная имплантация обычно менее болезненна, чем традиционная. Лазер минимизирует травму тканей, снижая дискомфорт. Анестезия используется, поэтому во время процедуры боли не будет. Послеоперационная боль, как правило, слабая и легко купируется обезболивающими.

00:16 Действие анестезии во время операции

00:29 Седация в нашей клинике

00:46 Что будет когда закончится действие анестезии?

01:05 Лазерные технологии и щадящие методы имплантации

Читайте интересное в блоге

02
Могут ли импланты не прижиться?
Полная имплантация зубов за 1 день Артдент

Да, такое возможно, но редко. Отторжение импланта — это осложнение, возникающее из-за недостаточной интеграции с костью. Причины: индивидуальные особенности организма, хронические заболевания, несоблюдение рекомендаций врача, курение. Процент отторжения невелик, но внимательность к процессу и здоровью важны для успеха.

00:30 Если имплант не прижился?

00:18 Процент приживаемости имплантатов

Читайте интересное в блоге

03
Как быстро проходит восстановление?
Имплантация зубов в Нижнем Новгороде

Первичное заживление длится 7-14 дней, когда сходят отеки и затягиваются швы. Полная остеоинтеграция, то есть срастание импланта с костью, занимает от 3 до 6 месяцев. Скорость восстановления индивидуальна и зависит от сложности операции, здоровья пациента и соблюдения рекомендаций врача..

00:10 Послеоперационный период

00:32 Восстановление костной ткани

00:47 Сколько времени нужно для приживления имплантатов?

Читайте интересное в блоге

04
Сколько прослужит имплант?
Имплантация зубов в Нижнем Новгороде

Импланты рассчитаны на длительную службу. Однако, их долговечность варьируется. На неё влияют выбор импланта, квалификация врача, ваша гигиена и общее состояние здоровья. Это как забота о своем автомобиле: чем лучше вы ухаживаете, тем дольше он прослужит.

00:07 Гарантия на импланты от производителя

00:28 Гарантия от клиники на приживление имплантатов

Читайте интересное в блоге

05
Как ухаживать за исскуственными зубами?
Имплантация зубов в Нижнем Новгороде

Чтобы протезы служили долго, нужно предупреждать скопление налёта и бактерий. Чистите их дважды в день и используйте ирригатор. Обязательно вычищайте межзубные пространства, где часто скапливаются остатки пищи. Регулярная профессиональная гигиена у стоматолога — ваша гарантия здоровья и долговечности протезов.

00:01 Можно ли использовать ирригатор после операции?

Читайте интересное в блоге

06
Сколько времени длится операция?
Имплантация зубов в Нижнем Новгороде

Время имплантации вариативно. Установка одного импланта занимает от 30 минут до часа. Сложные случаи с костной пластикой или несколькими имплантами могут длиться дольше. Точное время скажет врач после осмотра, учитывая индивидуальные особенности и сложность процедуры.

00:05 Сколько времени длится операция по имплантации одного зуба

Читайте интересное в блоге

акции
до 25 мая
Акции позволяют экономить и получать выгоду до 32%
Комплексная диагностика
при лечении за наш счёт
за счёт оптовых закупок
у прямых поставщиков
скидка для всех
категорий населения
налоговый вычет

Мы используем cookie, подробнее