Звонят другие стоматологии?

остерегайтесь мошенников!

остановить спам!
+7 (831) 214-10-66
4 клиники в Нижнем Новгороде
4 клиники в Нижнем Новгороде
Пн.-Сб.: с 8:00 до 20:00,
Вс.: с 8:00 до 18:00
image
Только у нас — лазерные технологии

Что такое «Все зубы за 1 день»?

— инновационный метод имплантации при полном отсутствии зубов
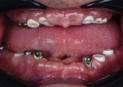
Полная имплантация зубов за 1 день Артдент
Технология предполагает установку 4 или 6 имплантах
— они служат надёжной опорой для несъёмного протеза и обеспечивают его максимальную стабильность. Узнать больше про все на 4, все на 6

«Все зубы за 1 день»: цена

Сколько стоит восстановление зависит от ряда факторов:
  1. Клинического случая пациента
  2. Выбранной методики и системы (10 систем имплантов под любой бюджет и состояние кости)
  3. Типа несъёмной конструкции

Кому подходит метод «Все зубы за 1 день»?

Передовая технология из Европы имеет минимум ограничений.

Успешно проводим операции пациентам до 83 лет, не прибегая к костной пластике.

Поставить импланты зубов за 1 день в Нижнем Новгороде

Рассмотрим основные факторы:

Показания к установке
  • Отсутствие зубов

    их полная / частичная потеря

  • Малое количество зубов

    и протезы под замену

  • Заболевания пародонта

    подвижность зубов

  • Состояние костной ткани

    умеренная степень атрофии челюстной кости и тканей

  • Проблемы со съёмными протезами

    возникает рвотный рефлекс, аллергия

Вставить зубы за 1 день в Нижнем Новгороде
Противопоказания
  • Тяжёлые заболевания

    аутоиммунные болезни (период обострения) и опухоли (острая стадия)

  • Психические расстройства

    а также наркотическая и алкогольная зависимости

  • Хроническая недостаточность

    почечная или печеночная

  • Болезни крови

    недостаточное поступление кислорода

  • Нарушения в работе ВНСЧ

    (дисфункция височно-нижнечелюстного сустава и аномалии прикуса)

  • Остеопороз

    хрупкость костей

  • Инфекции

    острые и вирусные заболевания

Патология — не приговор!

Чтобы подобрать альтернативный план лечения, направляем на консультацию к смежным специалистам.

Помогаем, когда другие отказывают из-за нехватки оборудования и опыта!

Преимущества и недостатки
Преимущества
  • В 4 раза экономичнее

    если сравнивать с классической имплантацией

  • Преображение за 1 день

  • Без ограничений в еде

  • Протез не смещается, не вызывает дискомфорта

Недостатки
  • Строгие требования к планированию

  • Более высокая цена

    по сравнению со съёмными конструкциями

Цены на зубы за 1 день в Артдент

Совет врача:

Подобрать импланты и протезы для метода «Все зубы за 1 день» можно только после сбора анамнеза, анализа данных КТ и осмотра полости рта.

В клинике 10 систем имплантации: от эконом до премиум с приживаемостью 99,8%.

Диагностика + консультация при лечении за 0 ₽
Сухарева Юлия Алексеевна в клинике Артдент
Сухарева
Юлия Алексеевна

Хирург-имплантолог

12 лет стажа

Отзывы пациентов о методе «Зубы за 1 день»:

Мечтала заняться зубами уже давно, и наконец-то решилась на операцию «Все зубы за 1 день». Её проводил Шикин В.В. Все прошло на удивление просто и оперативно. Особенно понравился протез. Выглядит совершенно естественно, даже лучше своих зубов. Теперь без проблем ем яблоки, морковь и мясо. Огромная благодарность врачам клиники Арт Дент за их высокий профессионализм!

Несколько лет мучилась с дёснами, пришлось удалить практически все зубы. Не знала, к кому обратиться, пока не посоветовали Артдент. Очень понравился профессиональный подход к проблеме, подробная консультация и диагностика, все разложили по полочкам. Операция действительно заняла один день...Сейчас восстанавливаюсь, но уже очень вам благодарна! Спасибо за красивую улыбку!

Хотел бы выразить благодарность команде Арт Дент 
за работу. Обратился за установкой зубов за один день и ни капли не пожалел, что остановил свой выбор на этой клинике. Грамотные врачи, отличное оборудование, цены, качество — достоинства перечислять можно долго. Еще раз огромное спасибо.

Примеры работ — «Все зубы за 1 день»

Каждый день оперируем 5-7 человек и помогаем даже в сложных клинических случаях

  • Новые зубы за 1 день отзывы Нижний Новогород
  • Полная имплантация зубов за 1 день отзывы Нижний Новогород
  • Все зубы за 1 день отзывы Нижний Новогород
  • Все зубы за 1 день отзывы Артдент
  • Полная имплантация зубов за 1 день отзывы Артдент
  • Новые зубы за 1 день отзывы Артдент
  • Зубы за 1 день отзывы Нижний Новогород
  • Зубы за 1 день отзывы Нижний Артдент

70 385+ ярких улыбок пациентов Артдент

Имплантация обеих челюстей по методу «Все зубы за 1 день» на имплантах ST (Южная Корея)

Пациент:

Татьяна, 58 лет

Жалобы пациента:

Потеря зубов, дискомфорт при ношении съёмного протеза

Что делали:

  • Комплексную цифровую диагностику
  • Санацию полости рта, удаление проблемных зубов
  • Установка 4 имплантов ST на нижнюю и 4 имплантов ST на верхнюю челюсти, фиксация несъёмных протезов

Результат:

Восстановление жевательной функции, улучшение дикции, повышение самооценки

Восстановили два жевательных зуба имплантами Osstem и металлокерамическими коронками

Пациент:

Иван, 34 года

Жалобы пациента:

Потеря 2-х жевательных зубов на нижней челюсти

Что делали:

  • Комплексную цифровую диагностику
  • Провели санацию полости рта
  • Удалили корни зубов
  • Одномоментно установили 2 импланта Osstem и м/к коронки

Результат:

Восстановлена эстетика, жевательная функция на нижней челюсти пациента.

Протезирование на имплантах Straumann (Швейцария)

Пациент:

Тимур, 48 лет

Жалобы пациента:

Частичная адентия, эстетика, трудности с откусыванием пищи

Что делали:

  • Комплексную цифровую диагностику
  • Санацию полости рта
  • Установку 3 имплантов Straumann, фиксацию 3 несъёмных протезов на имплантах

Результат:

Восстановление эстетики и жевательной функции

Имплантация «Все зубы за 1 день» Straumann

Пациент:

Дмитрий, 57 лет

Жалобы пациента:

Отсутствие зубов, аллергическая реакция на съёмные протезы

Что делали:

  • Провели цифровую диагностику
  • Подготовили ротовой полости к имплантации
  • Установили 6 имплантов Straumann на верхнюю челюсть
  • Установили 6 имплантов Straumann на нижнюю челюсть
  • Установили несъёмные протезы

Результат:

Восстановление жевательной функции, улучшение качества жизни и возможность полноценно питаться и общаться

Имплантация «Все зубы за 1 день» AnyRidge

Пациент:

Галина, 64 года

Жалобы пациента:

Потеря зубов на верхней челюсти, невозможность нормально улыбаться

Что делали:

  • Комплексная цифровая диагностика
  • Санация ротовой полости, удаление проблемных зубов
  • Установка 4 имплантов AnyRidge и фиксация несъёмного протеза

Результат:

Восстановление жевательной функции, избавление от комплексов и уверенность в себе

Наши специалисты

Хирурги со стажем до 34 лет и ежедневной практикой
Ростов Андрей Витальевич
стаж 34 года
Ростов
Андрей Витальевич
Хирург-имплантолог, ортопед
Кандидат медицинских наук с 2006 года
Приём на Белинского
Сухарева Юлия Алексеевна
стаж 12 лет
Сухарева
Юлия Алексеевна
Стоматолог-хирург, имплантолог
6000+ операций
Приём на Совнаркомовской
Шикин Владимир Владимирович
стаж 13 лет
Шикин
Владимир Владимирович
Врач высшей категории, хирург-имплантолог
Участник международных симпозиумов
Приём на Совнаркомовской

Этапы имплантации
всех зубов за 1 день

  • Бесплатная комплексная диагностика при лечении
  • Сверхточное цифровое планирование
1 приём 1.5 часа

Комплексное обследование и подготовка к имплантации

  • Осмотр ротовой полости и сбор информации о здоровье
  • Проведение КТ обеих челюстей
  • Анализ данных с использованием искусственного интеллекта
  • Выбор системы имплантатов
  • 3D-моделирование улыбки
  • Профгигиена полости рта
  • 3D-слепок сканером

Для исключения скрытых воспалительных процессов врач может назначить анализы крови.

Перед лечением расскажет о сроках и стоимости.

Сделать зубы за 1 день в Нижнем Новгороде
2 приёма 2 часа

Имплантация и протезирование

  • Удаление зубов при необходимости
  • Фиксация хирургического шаблона
  • Введение имплантатов через минимальные проколы в десне
  • Обработка лазером для ускорения процесса заживления
  • Установка адаптационного протеза
  • Корректировка протеза для удобства
  • Предоставление рекомендаций по уходу
Новые зубы за 1 день Артдент
Записаться
на первый приём за 0₽

Виды протезов

Выбор протеза — важный шаг к восстановлению красивой улыбки и комфортной жизни.

Конструкцию подбирает ортопед индивидуально. Учитываются особенности прикуса, анамнез и пожелания.

  • Материал протеза
  • С десной или без десны

Каркасный акриловый протез. Прочный каркас обеспечивает надёжную фиксацию и распределение нагрузки. Акриловое покрытие отличается эстетикой, комфортом.

Бескаркасный акриловый. Более лёгкий по сравнению с каркасным. Хороший вариант в случаях, когда не требуется высокая прочность.

На балке РММА фрезерованный. Высокая точность изготовления благодаря фрезеровке. Балка надёжно фиксирует несъёмный протез.

Преимущества адаптационных протезов:

  • быстрое восстановление эстетики
  • возможность нормально питаться в период заживления
  • предотвращение атрофии костной ткани
  • правильное формирование контура десны

Протез на имплантах может быть с искуственной десной или без неё.

Протезы без десны выглядят более естественно, так как имитируют только зубной ряд. Однако для их установки нужно, чтобы десна в области имплантации была здоровой и имела правильный контур. В другом случае нужно сделать пластику.

Искусственная десна выполняет несколько функций:

  • восполняет утраченный объём
  • скрывает недостатки десневого контура
  • возвращает улыбке естественный и гармоничный вид
  • способствует более надёжной фиксации конструкции

Какие импланты мы используем и почему. Коротко о преимуществах

Стоматология Артдент - зубы за 1 день
Мы работаем с имплантами ведущих производителей, которые прошли клинические испытания и доказали свою эффективность.
Сделать зубы под ключ за 1 день в Нижнем Новгороде
Импланты Lenmiriot, ST, Straumann, AnyOne, Osstem Active JD отличаются высочайшей точностью изготовления и предсказуемыми результатами.

Преимущества технологии «Все зубы за 1 день»

В сравнении с классической имплантацией и съёмным протезированием

Плюсы:
  • Скорость — новые зубы за 1-3 дня вместо нескольких месяцев

    Не нужно ждать, пока приживутся импланты, чтобы установить протезы

  • Подходит при атрофии кости

  • Выгоднее классической

    Цена НЕ связана с состоянием ткани, десны, количеством имплантов

  • Нет натирания дёсен, как у съёмных конструкций

Минусы:
  • Дороже съёмных аналогов

    Но часто дешевле классической имплантации с костной пластикой

  • Ограничения по прикусу

    Метод может быть неприменим при сильных аномалиях

Восстановление и уход после метода «Все зубы за 1 день»

Тихомирова Оксана Николаевна в клинике Артдент

После операции требуется соблюдение особого режима ухода.

Это позволит свести к минимуму осложнения: возникновение воспаления, боли, гематом, отёчности мягких тканей.

стаж 26 лет

Тихомирова
Оксана Николаевна

Врач высшей категории, терапевт

01
Чистка зубов

Со второго дня после операции приступайте к чистке. Используйте мягкую зубную щётку. Тщательно полоскайте рот после каждого приёма пищи.

02
Комплексный подход

Используйте флоссы, ёршики для удаления налёта, антисептические растворы для полоскания, а также ирригатор, который способствует улучшению кровоснабжения дёсен.

03
Питание

В течение первых двух недель после имплантации не употребляйте твёрдую пищу. Избегайте перепадов температуры.

04
Период восстановления

В период реабилитации исключите авиаперелёты, посещение сауны или бассейна, избегайте значительных физических нагрузок, переохлаждения, не курите.

05
Профосмотры

Посещайте профилактические осмотры не менее 2-х раз в год.

акция до 27 апреля

Экономьте до 31 500 рублей
на спецпредложениях перед:

  • Имплантацией
  • Комплексная цифровая диагностика при лечении
  • Скидка на удаление зубов до 100%
  • Профгигиена полости рта
31 500 ₽ 0 ₽
Стоматология Артдент - зубы за 1 день
Работаем ежедневно:

Пн.-Сб.: с 8:00 до 20:00, Вс.: с 8:00 до 18:00

Не подходит процедура?

Альтернативные технологии или чем заменить «Все зубы за 1 день»

Базальная имплантация

Импланты устанавливаются в более плотные слои костной ткани челюсти (базальный слой)

Птеригоидная имплантация

Без костной пластики и синус-лифтинга при критичной атрофии кости и болезнях пародонта

Съёмные протезы

Наиболее доступный вариант восстановления жевательной функции

Сделать зубы под ключ за 1 день в Нижнем Новгороде

Вопросы — ответы о технологии «Все зубы за 1 день»

01
Болезненна ли лазерная имплантация?

Анестезия подбирается для каждого пациента. Разрез выполняется лазером. Это сводит к минимуму болевые ощущения, отёчность.

01:30 Общая длина надреза лазером не превышает 5 мм.

3:00 Процедура психологически и физически воспринимается комфортнее.

4:00 Лазерный луч обладает бактерицидным эффектом и убивает бактерии во время опеции.

Читайте интересное в блоге

02
Есть ли вероятность отторжения имплантов?
Поставить импланты зубов за 1 день в Нижнем Новгороде

Возможность отторжения импланта существует, однако она крайне мала при строгом соблюдении врачебных рекомендаций, тщательной подготовке к процедуре.

Приживаемость зависит от состояния костной ткани, наличия хронических заболеваний, курения, индивидуальных особенностей.

Также результат зависит от качества материалов и профессионализма. Поэтому выбор подходящих имплантов и опыт специалиста имеют решающее значение.

Как правильно ухаживать за имплантами?

Читайте интересное в блоге

03
Может ли выпасть несъёмный протез?
Новые зубы за 1 день Артдент

Несъёмные протезы характеризуются надёжной фиксацией, однако в редких случаях возможно их ослабление.

Это происходит в нескольких случаях: недостаточно качественная фиксация, износ материалов, несоблюдение протокола установки.

Как предотвратить ослабление протеза: регулярно посещайте стоматолога, проводите тщательную гигиену полости рта, своевременно проводите замену изношенных конструкций.

Если протез выпал, обратитесь к врачу.

Читайте интересное в блоге

04
Каков срок службы несъёмных конструкций?
Вставить зубы за 1 день в Нижнем Новгороде

Срок службы зависит от материалов и соблюдения рекомендаций специалиста. В среднем конструкции используются 10-15 лет.

Факторы, которые влияют на долговечность: точное планирование и моделирование конструкции, мастерство зубного техника, материалы.

А также тщательный уход за ротовой полостью, использование мягкой зубной щётки, регулярные профилактические осмотры.

Признаки износа: появление трещин, возникновение дискомфорта, ослабление фиксации.

Читайте интересное в блоге

05
Как быстро я восстановлюсь после имплантации?
Полная имплантация зубов за 1 день Артдент

Мы применяем лазерные методики, поэтому период восстановления сокращён до 3-5 дней.

Преимущества лазерных технологий. Снижение выраженности отёков и болевых ощущений в период реабилитации благодаря биостимуляции тканей лазером.

Прицельное вживление имплантов с максимальным сохранением здоровых тканей.

Уже через 4-5 дней после процедуры ставим несъёмные конструкции — сможете жевать и улыбаться

Читайте интересное в блоге

06
Будет ли протез ощущаться во рту?
Стоматология Артдент - зубы за 1 день

После адаптации протезы на имплантах воспринимаются как собственные зубы.

В первые дни после установки возможно ощущение лёгкого дискомфорта, которое проходит в течение 2-3 дней.

Обеспечиваем комфорт благодаря точной подгонке конструкции. Создание протезов по вашим параметрам способствует быстрой адаптации.

Читайте интересное в блоге

Мы используем cookie, подробнее