Звонят другие стоматологии?

остерегайтесь мошенников!

остановить спам!
+7 (831) 214-10-66
4 клиники в Нижнем Новгороде
4 клиники в Нижнем Новгороде
Пн.-Сб.: с 8:00 до 20:00,
Вс.: с 8:00 до 18:00
image
Устраним функциональные дефекты зубного ряда, вернем эстетику улыбки

Реставрация зубов – что это такое?

Реставрация зубов в Нижнем Новгороде Артдент
Реставрация зубов ― ряд действий, направленных на воссоздание эстетики и функционала передних, жевательных зубов. Рассмотрим подробнее, что это такое.
Реставрация передних зубов в Артдент
Художественная и эстетическая реставрация
Первая подразумевает использование фотополимеров (композитных пломб), а вторая ― виниров, вкладок, накладок. Подберём метод реставрации под ваш случай и вернём здоровую, красивую улыбку за 2-3 приёма.

Щадящая цифровая реставрация зуба ― сделаем хорошо с 1-го раза

Художественная реставрация зубов Артдент
Проводим 3D-диагностику (или рентгенограмму), а также моделирование лечения для предельной точности результата.
Эстетическая стоматология в Нижнем Новгороде
Используем щадящие лазерные технологии и цифровые слепки ― к нам приходят даже те, кто боится стоматологов!

Реставрируем без переделок и дискомфорта

Цифровой слепок за 1-2 минуты без силикона во рту
Лазерное лечение кариеса без шума от бормашины
3D-модель улыбки: подбор цвета, формы изделий
Адаптация конструкций под 122 параметра челюсти
Независимо от метода — пломба, накладка или винир, вы сможете жевать без дискомфорта во рту и уверенно улыбаться.
Пройти диагностику за 0 ₽
Киселёв Михаил Андреевич в клинике Артдент

стаж 14 лет

Киселёв
Михаил Андреевич

Стоматолог-ортопед

Реставрация зубов ― цена

Сколько стоит реставрация зуба?
Цена зависит от 4-х компонентов:
Стоматология - реставрация зуба в Артдент
  1. Метода лечения — пломба, вкладка, накладка, винир
  2. Степени разрушения и нарушения эстетики единицы
  3. Необходимости предварительного лечения
  4. Акций — также влияют на стоимость реставрации
акция до 24 апреля
Реставрация зубов
9 900 ₽
от 8 990 ₽

Рассрочка на реставрацию зубов

Верните здоровье и привлекательность улыбки сейчас, а платите потом.
Поэтапная оплата на время лечения
0% без переплат
Рассрочка до 24 мес.
0% ставка
Реставрация зубов в Нижнем Новгороде Артдент

Рассчитайте, сколько стоит реставрация зубов и получите бонусы

На какой челюсти нужно отреставрировать зубы?
На одной челюсти
На обеих челюстях
Нужна консультация
С какой целью планировали начать лечение?
Красивая улыбка
Восстановить жевательную функцию
По другим показаниям
Есть ли противопоказания по здоровью?
Да
Нет
Нужна диагностика
Когда планировали начать лечение?
В ближайшее время
Через месяц-два
Через полгода
  • Снимки КТ или рентген

    При лечении в клинике
    5 490 ₽ 0₽
  • Бесплатная консультация

    2 000 ₽ 0₽

До и после реставрации зубов

Бережно воссоздаем внешний вид и функциональность улыбки по цифровому протоколу

  • Реставрация зубов в Нижнем Новгороде Артдент
  • Реставрация передних зубов в Артдент
  • Художественная реставрация зубов Артдент
  • Эстетическая стоматология в Нижнем Новгороде
  • Стоматология - реставрация зуба в Артдент
  • Реставрация передних зубов в Нижнем Новгороде
  • Художественная реставрация зубов в Нижнем Новгороде
  • Эстетическая стоматология в Артдент

70 385+ ярких улыбок пациентов Артдент

Восстановление формы зубов с помощью виниров E-max

Пациент:

Сергей, 35 лет

Жалобы пациента:

Зубы разной формы, есть небольшие промежутки между ними, жёлтый цвет эмали

Что делали:

  • Подготовили зубы
  • Сделали слепки
  • Изготовили и установили временные пластинки
  • Изготовили и установили постоянные виниры

Результат:

Ровные и красивые зубы, убрали промежутки между ними, поставили виниры более светлого оттенка

Реставрация зубов с помощью пломбирования

Пациент:

Ольга, 42 года

Жалобы пациента:

Кариозные поражения, пигментация

Что делали:

  • Провели диагностику
  • Вылечили кариес
  • Поставили светоотверждаемые пломбы

Результат:

Все внешние дефекты устранены, эстетика зубов полностью восстановлена

Восстановили улыбку пластинками E-max

Пациент:

Елена, 38 лет

Жалобы пациента:

Пятна на эмали, разная форма зубов

Что делали:

  • Подготовили зубы: лечение кариеса
  • Изготовили керамические пластинки
  • Установили временные, а затем постоянные микропротезы

Результат:

Полностью восстановили форму всех зубов в помощью пластинок E-max

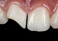
Реставрация зуба с помощью композитного материала

Пациент:

Денис, 35 лет

Жалобы пациента:

Скол на переднем зубе

Что делали:

  • Провели профессиональную гигиену
  • Выбрали материал
  • Провели реставрацию с помощью композитного материала

Результат:

Эстетика улыбки и жевательная функция полностью восстановлены

Реставрация зубов с помощью композитной пломбы

Пациент:

Анастасия, 47 лет

Жалобы пациента:

Боль в зубе, реакция на холодное и горячее

Что делали:

  • Вылечили глубокий кариес
  • Подготовили поверхность зуба
  • Смыли гель и просушили поверхность
  • Установили композитную пломбу
  • Подогнали пломбу под прикус пациента

Результат:

Пломба по цвету не отличается от родных зубов, челюсть пациента смыкается правильно.

Отзывы на независимых порталах ― реставрация зубов

Хочу выразить благодарность врачам клиники Артдент за то, что они сделали мне передний сломанный зуб накладкой так, как будто новый вырос. Не было больно, было комфортно, как известно, наше поколение боится стоматологов. Зато теперь появилась возможность снова улыбаться. Цены порадовали. Приветливый персонал. Работа слаженная, качественная.

Восстанавливаем здесь зубы всей семьей. Очень нравится профессиональный подход. Все делают быстро, качественно, с минимальным дискомфортом. Врачи очень тактичны подобрали вариант анестезии подходящий так, что я ничего не почувствовал. Огромная благодарность профессионалам за 3 композитные пломбы, служат уже третий год, вообще не ощущаются и визуально не отличить от своих.

Кариес удалили, дырочки в зубах запломбировали, а уже серьезно пострадавшие зубы восстановили коронками. И все это ― без замечаний, без дискомфорта и без подводных камней.

По стоимости уложились и по времени. Хочу выразить большую благодарность всем работникам клиники за честный труд. В следующем году планирую поставить здесь виниры.

ТОП в народном рейтинге

Наши врачи-ортопеды

Врачи-ортопеды со стажем до 30 лет реставрируют зубы даже в самых сложных случаях.

Мы ежегодно обучаемся в Европе, внедряем инновации, передаём опыт коллегам в собственном обучающем центре.

Ростов Андрей Витальевич
стаж 34 года
Ростов
Андрей Витальевич
Хирург-имплантолог, ортопед
Кандидат медицинских наук с 2006 года
Приём на Белинского
Носковский Виктор Иванович
стаж 22 года
Носковский
Виктор Иванович
Врач высшей категории, ортопед
Автор научных статей в области ортопедии
Приём на Белинского
Добровольская Ксения Сергеевна
стаж 6 лет
Добровольская
Ксения Сергеевна
Стоматолог-ортопед
2700+ работ
Приём на Белинского

85% пациентов приходят к нам по рекомендациям

— ставим пломбы, вкладки, накладки, виниры с цифровой точностью щадящими методами

Познакомиться со всеми врачами

Методы реставрации зубов

Существуют художественные и эстетические методы реставрации зубов. Выбор зависит от клинической картины, пожеланий пациента.

Художественная проводится композитными пломбами уже на 1-м приёме. Эстетическая выполняется винирами, вкладками, накладками ― они производятся по слепкам.

  • Прямая художественная
  • Непрямая эстетическая
Реставрация передних зубов в Артдент

Прямая художественная реставрация зубов — доступный, быстрый способ решить вопрос со сколами, щелями, кариозными разрушениями на зубах.

Осуществляется с помощью фотополимерных композитных пломб, уже на 1-м приёме (если не требуется дополнительное лечение).

Врач воссоздаёт анатомическую форму пломбы, она выглядит натурально. Из минусов: срок службы — 1 год.

Преимущества:

  • скорость — можно получить красивую улыбку уже за 1,5 часа
  • оптимальная стоимость — по сравнению с эстетическими методами
  • легкость эксплуатации — пломбы не требуют дополнительного ухода

Эстетическая реставрация зубов выполняется винирами, вкладками, накладками.

Может использоваться до 15 лет (срок службы виниров), но потребует больше времени. Так как изделия производятся в лаборатории по цифровым слепкам.

Подходит даже в тех случаях, если коронковая часть сильно разрушена.
Из минусов: более высокая цена (по сравнению с пломбами).

Преимущества:

  • устойчивый результат — до 15 лет (для виниров)
  • безупречная эстетика, полностью решает проблемы с формой, цветом
  • может использоваться при серьезных разрушениях коринковой части

Особенности реставрации зубов

Ростов Артём Андреевич в клинике Артдент

Рассмотрим, какой из методов подходит для восстановления зубов в вашем клиническом случае.

Первое, что учитываем ― виды единиц, их функциональное назначение. Резцы формируют красоту улыбки, а моляры отвечают за жевание пищи.

стаж 10 лет

Ростов
Артём Андреевич

Врач высшей категории, ортопед

01
Реставрация передних зубов

Состояние резцов отвечает за привлекательность улыбки.

Поэтому реставрация переднего зуба часто осуществляется виниром ― позволяет частично исправить форму, скрыть визуальные дефекты.

Также возможен прямой метод восстановления фотополимерами ― если проблему нужно решить «сейчас» по оптимальной цене.

02
Реставрация жевательных зубов

Реставрация жевательного зуба проводится как прямым, так и непрямым методами.

В 1-м случае ― с помощью композитных материалов (пломб). Если коронка сильно разрушена используется штифт, который размещается в корневом канале.

Во 2-м ― при помощи керамических вкладок. Такое решение препятствует повторному развитию кариеса, позволяет защитить от разрушения живые ткани моляра(при отсутствии депульпирования).

Показания и противопоказания к реставрации зуба

В каких ситуациях показаны данные процедуры? Есть ли противопоказания, на что обратить внимание?

Киселёв Михаил Андреевич в клинике Артдент

Рассмотрим основные факторы:

Показания
  • Повреждение зубов

    повышенная стираемость, сколы

  • Визуальные дефекты

    потемнение цвета эмали

  • Диастема

    наличие крупных щелей между единицами

  • Разрушение единиц

    частичное или умеренное повреждение коронковой части

Эстетическая стоматология в Нижнем Новгороде
Противопоказания
  • Сильные разрушения

    >50% коронковой части

  • Разрушение внутренних тканей зуба

    препятствует прилеганию композита к корню

  • Отсутствие зубных тканей в боковых зонах

    изделие может разрушиться из-за неравномерной нагрузки

  • Наличие коронок на противоположных единицах

    ускоряют процесс износа менее прочного композита

  • Другие факторы

    высокая степень стираемости, бруксизм, дефектный прикус, аллергия на композит

  • Некоторые противопоказания являются относительными

В Артдент есть всё для работы со сложными случаями

за счёт 3D-диагностики и лазерных технологий ― применяются на этапе подготовки, лечения, закрепления результата.

Этапы реставрации зубов

  1. Персональный подбор метода восстановления под вас
  2. Передовая анестезия для щадящего лечения
Этапы реставрации зуба зависят от подобранной методики.
  • Прямая
  • Непрямая
Стоматология - реставрация зуба в Артдент

1 приём

Обследование, подготовка и лечение

  • Осмотр ротовой полости, рентгенограмма или КТ
  • Составления плана лечения (подбор композитного материала)
  • Санация полости рта
  • Анестезия, установка коффердама
  • Обезжиривание зубной поверхности, нанесение клея
  • Нанесение фотополимера, шлифовка, полировка

Прямой метод реставрации проводится сразу на 1-м приёме.

Опционально может потребоваться предварительное лечение, подготовка, что удлиняет сроки.

Стоматология - реставрация зуба в Артдент

1 этап

Комплексное обследование и подготовка

  • 3D диагностика + моделирование
  • Демонстрация готовой улыбки
  • Создание плана лечения
  • Подбор виниров, накладок, вкладок персонально под вас
  • Подготовка эмали, установка временных пломб
  • Отправка цифрового слепка в лабораторию
Опционально проводим предварительное лечение зубов/десен.
Реставрация зубов в Нижнем Новгороде Артдент

2 этап

Установка ортопедических конструкций

  • Снятие временных пломб
  • Примерка постоянных микропротезов
  • Опционально: коррекция и подшлифовка изделий
  • Фиксация конструкций
  • Рекомендации по уходу

Прямая или непрямая реставрация зубов

Все зависит от клинической картины. При наличии мелких дефектов подойдёт прямой метод.

В случаях, где нужно устранить обширные разрушения, изменить цвет, форму единиц, выигрывают непрямые методы.

Диагностика + консультация при лечении за 0 ₽
Носковский Виктор Иванович в клинике Артдент
Носковский
Виктор Иванович

Стоматолог-ортопед

21 год стажа

Срок службы реставрации и профилактика

Период службы пломб, вкладок, накладок — в среднем около года, а виниров — до 15 лет.

Соблюдайте меры профилактики и продлите срок эксплуатации!

Чистка зубов 2 раза в день
Используйте щётки с низкой или средней жёсткостью, пасты с низкой абразивностью.
Дополнительный уход
Уделите внимание использованию ирригатора, зубной нити.
Профосмотры
Раз в полгода посещайте стоматолога и проводите профгигиену полости рта.
Реставрация передних зубов в Артдент

Вопросы - ответы

01
Прямой или непрямой метод?

При выборе между прямым и непрямым методом лечения зубов важно учитывать их особенности. Прямой метод подразумевает восстановление зуба непосредственно в полости рта, что обеспечивает быстрый результат, например, при пломбировании кариеса. Непрямой метод включает создание слепков и последующее изготовление реставраций в лаборатории, что обеспечивает более точное и долговечное решение, особенно для коронок и виниров.

00:10 Что такое прямой метод реставрации?

00:22 Непрямой метод реставрации

00:37 Когда какой метод используется?

Узнайте больше про реставрацию в блоге

02
Можно ли проводить восстановление во время беременности?
Реставрация зубов в Нижнем Новгороде Артдент

Да, восстановление зубов во время беременности возможно и часто необходимо. Если у вас есть проблемы, такие как кариес или десневые заболевания, важно обратиться к стоматологу, чтобы избежать осложнений. Лучше всего выполнять лечение на втором триместре, когда риски для здоровья мамы и будущего малыша минимальны. Доктор может использовать щадящие методы и анестезию, что обеспечит комфорт во время процедуры.

00:05 Правила лечения у стоматолога во время беременности

00:40 Чем для беременных опасна хроническая инфекция полости рта?

Узнайте больше про реставрацию в блоге

03
Срок службы изделий передних и нижних зубов одинаковый?
Реставрация передних зубов в Артдент

Обычно изделия для передних зубов, такие как виниры или композитные реставрации, могут иметь срок службы от 5 до 10 лет, в зависимости от условий эксплуатации и ухода. Изделия для нижних зубов, например коронки, могут служить дольше, часто до 15 лет и более, поскольку они подвергаются меньшей нагрузке при жевании. Однако индивидуальные факторы, такие как гигиена полости рта и привычки пациента, играют ключевую роль в долговечности этих изделий.

Узнайте больше про реставрацию в блоге

04
Стоит ли делать реставрацию только ради эстетики?
Художественная реставрация зубов Артдент

Если зубы имеют значительные дефекты, такие как трещины, сколы или изменение цвета, реставрация может значительно повысить уверенность в себе и улучшить качество жизни. Однако важно помнить, что здоровье зубов также играет важную роль. Если эстетические проблемы сопровождаются функциональными нарушениями, рекомендуется рассмотреть комплексный подход к лечению.

00:08 Точка зрения стоматолога-ортопеда

Узнайте больше про реставрацию в блоге

05
Можно ли восстановить темные пломбы или только менять?
Эстетическая стоматология в Нижнем Новгороде

Восстановить тёмные пломбы, как правило, невозможно, и их следует заменять. Тёмные пломбы, особенно из амальгамы, со временем могут терять свою прочность и эстетичность, что может приводить к изменению цвета и появлению трещин. Если пломба вызывает дискомфорт или заметна визуально, лучше проконсультироваться со стоматологом. Врач оценит состояние зуба и предложит заменить пломбу на более современные материалы, такие как композиты, которые выглядят более естественно и обеспечивают хорошую прочность.

00:05 Что означает потемневшая пломба?

00:45 Можно ли осветлить пломбу?

Узнайте больше про реставрацию в блоге

06
Обязательно ли перед процедурой проводить чистку от налёта?
Стоматология - реставрация зуба в Артдент

Удаление налёта помогает улучшить видимость и доступ к зубам, что делает лечение более эффективным и безопасным. Чистка также снижает риск инфекций и осложнений, позволяя стоматологу лучше оценить состояние зубов и дёсен. Если у вас накопилось много налёта или есть признаки заболевания дёсен, стоматолог может посоветовать провести чистку перед основной процедурой.

00:10 Почему перед началом любого стоматологического лечения нужно проводить профессиональную гигиену полости рта?

Узнайте больше про реставрацию в блоге

акции
до 24 апреля
К нам на лечение приезжают из Москвы и получают выгоду до 32%
Комплексная диагностика
при лечении за наш счёт
за счёт оптовых закупок
у прямых поставщиков
скидка для всех
категорий населения
налоговый вычет

Мы используем cookie, подробнее