Звонят другие стоматологии?

остерегайтесь мошенников!

остановить спам!
+7 (831) 214-10-66
4 клиники в Нижнем Новгороде
4 клиники в Нижнем Новгороде
Пн.-Сб.: с 8:00 до 20:00,
Вс.: с 8:00 до 18:00

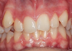
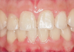
Боюсь ставить брекеты: разбираем страхи и ищем решения

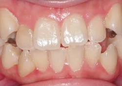
«Боюсь ставить брекет-систему!» – этот страх часто останавливает людей от получения красивой, здоровой улыбки. Вы тоже сомневаетесь? Возможно, вам кажется, что брекеты – это сложно, больно, дорого, долго, неудобно. Так ли это на самом деле? Или все не так плохо?
Ортодонты стоматологии «Артдент» расскажут правду о брекет-системах:
что в действительности ждет пациентов с брекетами?
как преодолеть сложности при ношении систем?
как проходит установка конструкций и выравнивание зубов?
каковы реальные плюсы и минусы брекетов?
какие есть альтернативы несъемным системам?
как вы улучшите внешность и здоровье, если исправите прикус?
Боюсь ставить брекеты: разбираем страхи и ищем решения

Мы используем cookie, подробнее