Звонят другие стоматологии?

остерегайтесь мошенников!

остановить спам!
+7 (831) 214-10-66
4 клиники в Нижнем Новгороде
4 клиники в Нижнем Новгороде
Пн.-Сб.: с 8:00 до 20:00,
Вс.: с 8:00 до 18:00
image
Восстанавливаем правильную работу ВНЧС

Что такое бруксизм, методы коррекции

Бруксизм — это непроизвольное сжатие челюстей и скрежет зубами.
Постоянная перегрузка приводит к стиранию эмали, микротрещинам, головным болям, напряжению в шее. Со временем может измениться прикус, появиться боль в ВНЧС (сустав челюсти), воспаление, щелчки при открывании рта, ощущение «заклинивания» челюсти.
Врач гнатолог в Нижнем Новгороде
Виды бруксизма:
Ночной. Проявляется во сне. Человек не замечает, что сжимает челюсти и скрипит зубами.

Дневной. Возникает при стрессе, концентрации, за рулём или на работе.

Цены на коррекцию бруксизма

Ростов Артём Андреевич в клинике Артдент

Какая стоимость?

Стоимость коррекции бруксизма рассчитывается индивидуально и зависит от нескольких факторов:

  • Причина проблемы (например, нарушения в работе ВНЧС или патологии прикуса)
  • Объём необходимых процедур
  • Используемые технологии и оборудование
акция до 24 апреля
Консультация гнатолога
5 000 ₽

Показания к терапии бруксизма в стоматологии

Коррекция бруксизма назначается при конкретных симптомах и нарушениях в работе челюстной системы. В этом помогает гнатолог — специалист, который разбирается в работе прикуса, мышц и ВНЧС как единой системы.

Малков Александр Игоревич в клинике Артдент

Когда нужна помощь гнатолога:

  • Боль

    в области ВНЧС

  • Щелчки, хруст

    при открывании рта

  • Ощущение «заклинивания»

    челюсти

  • Частые головные боли

    из-за перенапряжения жевательных мышц

  • Сильная стираемость

    зубов

  • Сколы эмали

    (микротрещины и повреждения от перегрузки)

  • Неправильное смыкание

    зубов

пациент с бруксизмом на приеме у гнатолога

Как лечат бруксизм в стоматологии

В Артдент лечение строится по цифровому протоколу: мы проводим функциональную диагностику, используем TENS-терапию для расслабления мышц и определяем физиологически правильное положение нижней челюсти.

На основе КТ и 3D-сканирования моделируем прикус и движение челюсти до начала терапии. Это позволяет точно понять источник перегрузки: в мышцах, суставе или смыкании зубов. Подобрать метод лечения индивидуально, с прогнозируемым результатом.

  • Окклюзионные шины / сплинты (капы)
  • Коррекция прикуса / окклюзии
  • Лечение ВНЧС
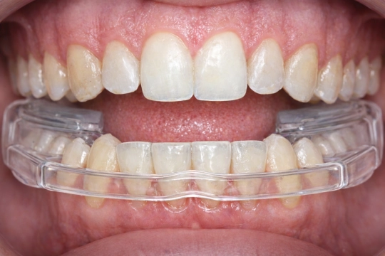
окклюзионная шина

Окклюзионная шина — это индивидуальная капа, которая разгружает сустав и мышцы, защищает зубы от повышенного стирания.

Зачем нужна шина:

  • снимает мышечный спазм
  • снижает давление на ВНЧС
  • предотвращает стирание эмали
  • уменьшает утреннюю боль в челюсти

Как работает:

  • изготавливается строго под ваш прикус
  • корректирует положение челюсти
  • перераспределяет нагрузку
  • используется по схеме врача (ночью или днём — индивидуально)

Важно:
Это не «универсальная капа из аптеки». Шина регулярно корректируется гнатологом, чтобы терапия давала результат.

коррекция окклюзии на брекетах

Если причина бруксизма — неправильное смыкание зубов, требуется коррекция прикуса.

Когда нужна коррекция:

  • зубы смыкаются неравномерно
  • есть перегруженные зоны
  • бруксизм возвращается после снятия шины
  • планируется ортодонтическое лечение

Что делаем:

  • анализируем смыкание зубов
  • устраняем преждевременные контакты
  • корректируем прикус
  • при необходимости подключаем ортодонта

Результат:
Челюсть перестаёт «искать удобное положение», мышцы расслабляются, скрежет уменьшается.

дисфункция внчс

Если проблема в суставе, работаем напрямую с ВНЧС.

Показания:

  • щелчки и хруст
  • боль возле уха
  • ограничение открывания рта
  • ощущение заклинивания

Что входит:

  • гнатологическая диагностика
  • работа с мышцами
  • стабилизация положения челюсти
  • контроль динамики

Цель терапии:

  • снять воспаление
  • восстановить нормальную подвижность
  • убрать боль
  • стабилизировать сустав

Когда нужна консультация у гнатолога из-за бруксизма

К примеру: если вы собираетесь ставить брекеты, элайнеры, коронки, виниры или проходить протезирование.
Стоматолог гнатолог Артдент
Функциональная гнатологическая диагностика необходима, когда:
  • замечаете ночной скрежет зубами
  • челюсть ноет или тянет в области сустава
  • ловите себя на том, что постоянно сжимаете зубы
  • слышите щелчки при открывании рта
  • ортопедические конструкции быстро стираются или повреждаются
акция до 24 апреля

Начните с комплексного обследования за 0 ₽ !

  • Перед лечением зубов
  • Комплексная цифровая диагностика при лечении
  • Лазерная диагностика кариеса
  • Скрининг патологий слизистой "Velscop VX"
8 900 ₽ 0 ₽
Врач гнатолог в Нижнем Новгороде
Работаем ежедневно:

Пн.-Сб.: с 8:00 до 20:00, Вс.: с 8:00 до 18:00

Примеры работ

  • Врач гнатолог в Нижнем Новгороде
  • Стоматолог гнатолог Артдент
  • Гнатолог цены Артдент
  • Прием гнатолога в Нижнем Новгороде
  • Консультация гнатолога Артдент
  • Гнатолог Нижний новгород
  • Гнатолог лечение в Нижнем Новгороде
  • Прием врача гнатолога Артдент

70 385+ ярких улыбок пациентов Артдент

Подготовка к ортодонтическому лечению при бруксизме

Пациент:

Андрей, 22 года

Жалобы пациента:

Пациент обратился с жалобами на ночной скрежет зубами, утреннюю усталость в челюсти и щелчки в суставе. Также планировал ставить брекеты и хотел понять, безопасно ли начинать лечение.

На гнатологической диагностике выявили перегрузку жевательных мышц, нарушение смыкания зубов и признаки дисфункции ВНЧС. Смоделировали движения челюсти в артикуляторе, чтобы точно определить причину проблемы.

Что делали:

  • Пациенту изготовили индивидуальную окклюзионную шину и назначили сплинт-терапию. Уже через несколько недель снизился скрежет зубами, ушли боли и напряжение в челюсти, стабилизировалась работа сустава.

Результат:

После нормализации состояния пациент был направлен к ортодонту и безопасно начал основное лечение.

Отзывы

У меня давно уже начались щелчки в челюсти, боль была при жевании, но как-то всё не придавала значения, думала пройдёт. Но боль не проходила, а только усиливалась. Пришла на приём в «Артдент» к стоматологу, который направил уже к гнатологу. Прошла курс лечения здесь, делала упражнения, как сказал и показал врач. Сейчас уже дело идёт на поправку. Спасибо!

У меня остались только хорошие эмоции от клиники. Проходила тут лечение проблем дисфункции челюстного сустава, всё прошло отлично. Результатом довольна, от проблемы сейчас не осталось и следа. Ростов Артём Андреевич отличный специалист, спасибо! В процессе лечения нужно было несколько коронок старых заменить, сделал идеально, как свои зубы.

Я здесь лечусь уже не один год. Пришёл для лечения кариеса, а врач обнаружил дисфункцию сустава и с прикусом не всё хорошо было. Я действительно много лет жую на одну сторону. Так началось моё комплексное лечение и знакомство с гнатологией. Исправили прикус, вернули возможность жевать без боли и теперь жую на обе стороны. Хочу сказать тем, кто в самом начале: да, это не быстро, но того стоит.

ТОП в народном рейтинге

Наши специалисты-гнатологи

Эксперты со стажем 10+ лет — проходят периодические стажировки в России и за рубежом.
Единственные в Нижнем Новгороде применяют лазерные технологии для терапии височно-нижнечелюстного сустава.
Ростов Артём Андреевич
стаж 10 лет
Ростов
Артём Андреевич
Врач высшей категории, ортопед
Врач высшей категории, ортопед
Приём на Белинского
Малков Александр Игоревич
стаж 10 лет
Малков
Александр Игоревич
Стоматолог-ортопед
5000+ работ
Приём на Белинского

Диагностика и коррекция бруксизма

Наши гнатологи подбирают метод коррекции в зависимости от причины бруксизма и сложности ситуации.

Работа строится поэтапно: сначала точная диагностика, затем индивидуальная терапия.

  • Диагностика в артикуляторе
  • Изготовление окклюзионной капы
диагностика ВНЧС в артикуляторе

Проводим функциональное обследование челюсти с помощью артикулятора — прибора, который точно повторяет ваши движения при жевании и разговоре.

Что это даёт:

  • видим, как смыкаются зубы
  • определяем зоны перегрузки
  • оцениваем работу ВНЧС
  • понимаем причину скрежета

примерка защитной капы на зубы

После диагностики изготавливаем индивидуальную капу.

Этапы:

  • Снимаем цифровые слепки
  • Моделируем шину под ваш прикус
  • Изготавливаем капу в лаборатории
  • Проводим примерку и коррекцию

Капа снижает нагрузку на зубы, суставы челюстей, уменьшает скрежет, защищает эмаль.

  • Коррекция прикуса и высоты зубов
  • Лечение дисфункции ВНЧС
коррекция прикуса брекетами

Если причина бруксизма в неправильном смыкании зубов, проводим коррекцию.

Включает:

  • Устранение преждевременных контактов
  • Выравнивание нагрузки
  • Восстановление правильной высоты прикуса

Это помогает челюсти занять физиологичное положение, снижает напряжение мышц.

осмотр внчс

Работаем напрямую с суставом, если есть боль, щелчки или ограничение движения.

Этапы терапии:

  • Снимаем воспаление
  • Стабилизируем положение челюсти
  • Восстанавливаем подвижность
  • Контролируем динамику терапии

Что будет, если не лечить бруксизм?

Стоматолог гнатолог Артдент
Со временем проблема усугубляется.
Постоянное сжатие челюстей приводит к стиранию эмали, появлению сколов, микротрещин и чувствительности зубов. Может измениться прикус, усилиться нагрузка на ВНЧС и появиться хроническая боль.
Гнатолог лечение в Нижнем Новгороде
Возрастает риск осложнений.
Без лечения бруксизм часто вызывает воспаление сустава, щелчки, ограничение открывания рта и постоянное мышечное напряжение. В сложных случаях это может мешать нормальному жеванию и снижать качество жизни.
обсуждение МРТ снимка ВНЧС

Следующие этапы к идеальной улыбке

Бруксизм пролечен. Фундамент восстановлен.

Теперь можно безопасно переходить к эстетике и функционалу.

Ортодонтическое лечение
Выравниваем зубы, распределяем нагрузку, стабилизируем смыкание — для правильной работы челюсти.
Реставрация сколов и стёртости
Восстанавливаем форму и длину зубов, возвращаем естественную эстетику. Улыбка выглядит здоровой, симметричной, естественной.
Восстановление недостающих зубов
Коронки, мостовидные протезы, виниры подбираются индивидуально, с учётом прикуса и нагрузки после коррекции бруксизма.
реставрация скола

Профилактика бруксизма

Ростов Артём Андреевич в клинике Артдент

«Бруксизм — это не привычка и не вопрос самоконтроля. Его основная причина — очаги возбуждения в головном мозге, из-за которых жевательные мышцы непроизвольно напрягаются, чаще всего во сне.

Коррекция направлена на то, чтобы снизить эту перегрузку, защитить зубы и сустав и убрать последствия постоянного мышечного спазма. А простые рекомендации после лечения помогают сохранить результат и не усугублять ситуацию»

стаж 10 лет

Ростов
Артём Андреевич

Врач высшей категории, ортопед

01
Обращайте внимание на напряжение в челюсти

В течение дня полезно иногда «проверять» себя: в спокойном состоянии зубы не должны быть сжаты, а челюсть — напряжена. Это не лечение, а способ не усиливать нагрузку.

02
Не перегружайте мышцы шеи и головы

Постоянное напряжение в шейно-плечевой зоне и неудобное положение головы усиливают нагрузку на жевательные мышцы и сустав, поэтому после коррекции важно избегать постоянного перенапряжения (спорт, неправильная осанка, так как мышечные цепи шеи и челюсти неразрывно связаны).

03
Берегите височно-нижнечелюстной сустав

Лучше отказаться от привычки грызть твёрдые предметы и постоянно жевать жвачку, это лишняя механическая нагрузка.

04
Поддерживайте нервную систему

Бруксизм тесно связан с работой нервной системы. Недосып, хронический стресс и переутомление могут усиливать мышечные спазмы, поэтому нормальный сон и восстановление действительно важны.

05
Приходите на контрольные осмотры

Даже если симптомы ушли, бруксизм требует наблюдения. Врач может вовремя заметить изменения и скорректировать терапию до того, как появятся новые проблемы с суставом или зубами.

Вопросы-ответы

01
Можно ли вылечить бруксизм навсегда?
Прием гнатолога в Нижнем Новгороде

Зависит от причины. Если проблема в прикусе, мышцах или ВНЧС — её можно стабилизировать надолго. Шина сама по себе не лечит, она снимает нагрузку, защищает зубы. Стойкий результат появляется, когда убирают причину, контролируют состояние челюсти.

02
Как понять, что проблема в ВНЧС?
Гнатолог Нижний новгород

- боль возле уха или в виске,
- щелчки, хруст,
- челюсть «заклинивает»,
- сложно широко открыть рот.

03
Может ли бруксизм вернуться?
Врач гнатолог в Нижнем Новгороде

Да. Рецидив возможен при стрессе, недосыпе, если бросить коррекцию раньше времени или не скорректировать прикус. Чтобы снизить риск — контроль у врача, соблюдение рекомендаций.

04
Можно ли купить капу в аптеке?
Запись к гнатологу в Нижнем Новгороде

Аптечная капа:

- не учитывает ваш прикус
- не убирает причину
- может перегружать сустав

Лечебная шина изготавливается индивидуально, регулярно корректируется врачом.

Мы используем cookie, подробнее