Не всегда. Кроме кариеса это может быть, пигментированный налет или камень. Без осмотра под увеличением отличить одно от другого невозможно.
остерегайтесь мошенников!
Налет, пигменты от кофе или чая, зубной камень, ранний кариес — внешне все эти пятна могут выглядеть одинаково, поэтому понять настоящую причину без осмотра практически невозможно.
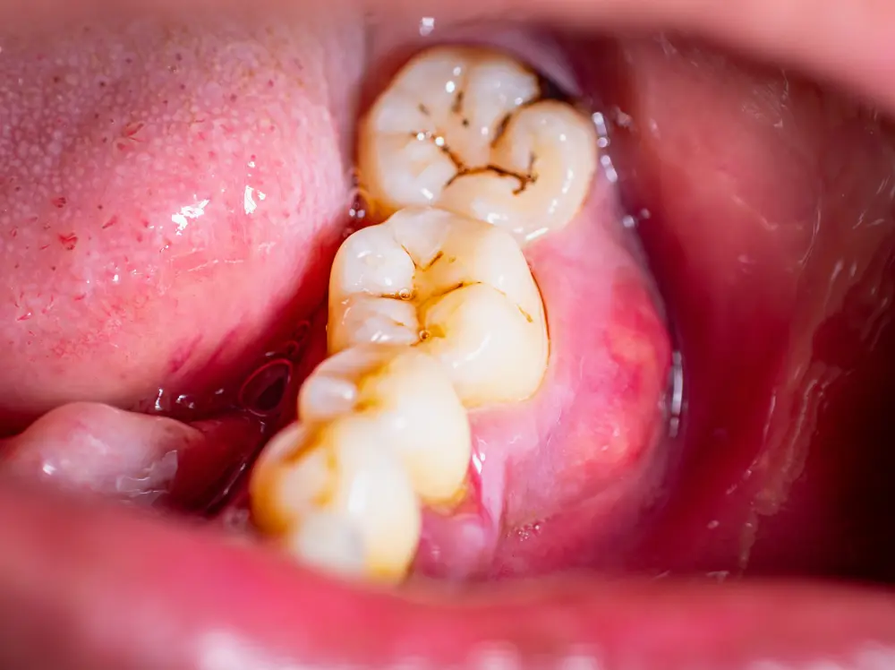
Черные бороздки или точки на жевательной поверхности зубов часто связаны с фиссурным кариесом. В этих естественных углублениях легко скапливаются налет и бактерии. Разрушение может начаться незаметно и долго не вызывает дискомфорт.
На раннем этапе такой кариес не всегда требует сверления. Поверхностное поражение можно остановить с помощью технологии Icon или реминерализующих составов, которые укрепляют эмаль.
Главное — вовремя показать пятно врачу, чтобы кариес не успел углубиться.
Они чаще всего связаны с пигментированным налетом. Его дают кофе, крепкий чай, красное вино, специи.
У курильщиков такие пятна появляются особенно быстро. Со временем мягкий налет уплотняется, становится темнее и заметнее.
Это плотные минеральные отложения у десны или на внутренней стороне зубов. Щеткой их не снять — камень убирается только профессионально: ультразвуком или специальными инструментами.
Черный камень вызывает воспаление десен, неприятный запах, чувствительность. Со временем он уходит глубже под десну, поэтому важно приходить на профессиональную чистку раз в 3-6 месяцев.
У детей черные полоски или пятна часто связаны не с кариесом, а с налетом Пристли — бактериями, которые выделяют темный пигмент. Выглядит это пугающе, но эмаль не разрушает, боли не вызывает.
Дома такой налет не убрать: он прочно держится на поверхности эмали. Профессиональная гигиена легко снимает его, возвращает естественный цвет.
Черные точки могут быть как налетом или камнем, так и начальным кариесом. Отличить одно от другого по внешнему виду непросто, но есть признаки, на которые можно ориентироваться.
Черные точки и пятна выглядят похоже, но причины у них могут быть разными: от пищевых пигментов до начального кариеса. На глаз отличить одно от другого практически невозможно.
При осмотре с увеличением врач сразу понимает, что именно изменилось в эмали и почему. Он легко отличит налёт от начального кариеса и подскажет, что делать дальше.
Чтобы точно определить причину и безопасно вернуть эмали светлый цвет, нужно профессиональное лечение. В Артдент используем современные технологии, которые позволяют убрать черный налет на зубах, остановить кариес на ранней стадии, восстановить эмаль без боли.
Профессиональная гигиена — самый быстрый, эффективный способ убрать черные точки, темный налет, если причина не в кариесе. Во время процедуры ультразвук снимает твердый зубной камень, а Air Flow мягко очищает эмаль от пигментов. После такой чистки эмаль становятся заметно светлее, а поверхность — гладкой и чистой.
На раннем этапе можно вылечить кариес без сверления. Технология Icon проникает в поры ослабленной эмали, укрепляет ее и «запечатывает» участок, не давая бактериям развиваться дальше. Процедура проходит без боли, сохраняет здоровые ткани зуба.
Самая частая ошибка — пробовать «снять» пятно ногтем, зубочисткой или жесткой щеткой. Такие действия царапают эмаль, делают её тоньше, чувствительнее. Даже если пятно было безобидным, после таких попыток зуб становится уязвимее к кариесу.
Поэтому любые пятна лучше не трогать: безопаснее прийти на осмотр, где врач аккуратно очистит поверхность и решит, нужно ли лечение.
Чтобы черные точки и темный налет не появлялись снова, достаточно соблюдать несколько простых правил.
Чистить зубы два раза в день мягкими движениями от десны к режущему краю.
Использовать нить или ирригатор, чтобы убирать налет между зубами.
Меньше красящих напитков: кофе, крепкого чая, красного вина.
Отказ от курения — это одна из главных причин темных пятен.
Профессиональная гигиена в Артдент помогает поддерживать ровный цвет эмали, предотвращает образование камня.
Темные точки на зубах выглядят одинаково — но за ними может скрываться всё что угодно: от безобидного налета до начального кариеса. Отличить одно от другого без увеличения невозможно.
В Артдент диагностика бесплатная — и проводится на оборудовании нового поколения, которое позволяет увидеть даже минимальные изменения эмали с точностью до 0,01 мм.
Врач сразу исключает скрытые патологии на ранней стадии и понимает, что именно стало причиной потемнения. Благодаря этому в 95% случаев удаётся сохранить зуб — без удаления и без лишних вмешательств.
Не всегда. Кроме кариеса это может быть, пигментированный налет или камень. Без осмотра под увеличением отличить одно от другого невозможно.
Только мягкий поверхностный налет. Черные точки, камень, пигментацию дома не убрать — щетка и пасты не справятся. А агрессивные методы вредят эмали.
Это зависит от причины. Часто потемнение связано с разрушением нерва или глубоким кариесом.
Часто это налет Пристли — пигмент бактерий, который выглядит темным, но не разрушает эмаль. Однако важно показать зубы врачу, чтобы исключить ранний кариес.
Цена зависит от причины: профессиональная чистка стоит дешевле, лечение кариеса — дороже. На консультации врач определит, почему появились пятна, назовет точную стоимость до начала процедур.
Мы используем cookie, подробнее