Звонят другие стоматологии?

остерегайтесь мошенников!

остановить спам!
+7 (831) 214-10-66
4 клиники в Нижнем Новгороде
4 клиники в Нижнем Новгороде
Пн.-Сб.: с 8:00 до 20:00,
Вс.: с 8:00 до 18:00

Какие импланты зубов лучше ставить в 2025-2026 году: рейтинг и советы экспертов

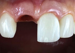
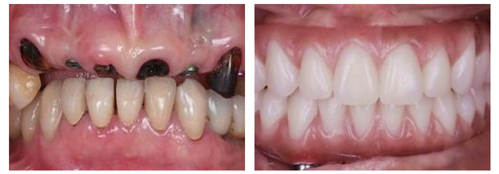
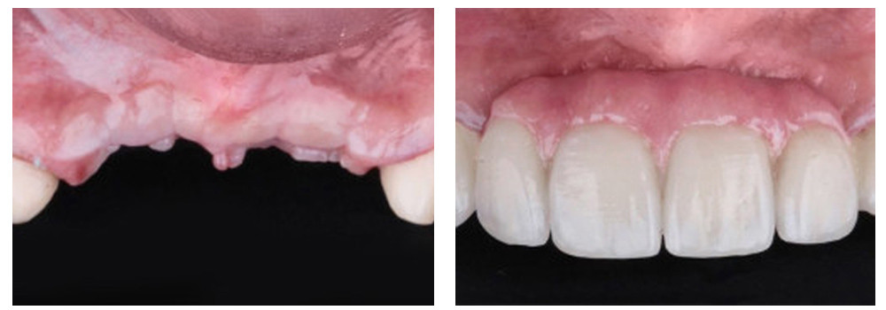
Выбор системы имплантации – ответственный шаг, от которого напрямую зависят здоровье, комфорт и долговечность результата.
В клинике Артдент представлено около десяти имплантационных систем – каждая из них проверена на практике и имеет свои особенности и преимущества. Но на стоматологическом рынке брендов и моделей в разы больше, и разобраться в этом многообразии непросто даже подготовленному пациенту.
Мы знаем, какие системы действительно оправдывают доверие временем, а какие – лучше обходить стороной. На что стоит обратить внимание при выборе импланта? Какие бренды показали себя лучшими в 2025-2026 году? Обо всём этом рассказывают специалисты Артдент в нашем обновлённом рейтинге лучших систем имплантации.
Какие импланты зубов лучше ставить в 2025-2026 году: рейтинг и советы экспертов

Мы используем cookie, подробнее