Нет. Если скол мелкий или зуб уже без нерва, никакой боли вы не почувствуете. Если нерв сохранен или повреждение крупное, все процедуры проводят под безопасной, эффективной анестезией.
остерегайтесь мошенников!
Скол зуба — это механическое повреждение, при котором нарушается форма коронковой части. В зависимости от глубины травмы, повреждение может затрагивать разные слои:
При сильном повреждении разрушает корневую систему. В таких случаях говорят уже о переломе или вывихе.
Кроме внешнего вида, скол имеет свои характерные признаки, и они зависят от размера и глубины повреждения:
ощущаете языком шероховатости или углубления, которых не было раньше — это мелкие щербинки;
появился режущий край, который царапает язык, губы, внутреннюю поверхность (слизистую) щек — это средние надломы;
разрушается зубная стенка — обычно при крупных пломбах;
заметили темные полосы при осмотре — могут быть трещины, расколы; появилась боль, чувствительность на еду, напитки, холодный воздух - начальный кариес в живом зубе с нервом;
выпала пломба или кусочек зуба.
Возможно появление только одного симптома или сразу нескольких. Откладывать лечение нельзя. Даже небольшие щербинки приведут к дальнейшему разрушению единицы.
Алгоритм первой помощи при сколе зуба:
Прополощите рот водой, антисептическим раствором («Хлоргексидин», «Мирамистин») или ополаскивателем для рта без спирта. Все жидкости должны быть комнатной температуры.
Не жуйте на стороне повреждённого зуба.
Приложите на 10 минут холодный компресс к щеке – если появился отек.
Примите обезболивающее, если есть сильная боль. Лучше всего работают нестероидные противовоспалительные средства: «Нимесил», «Кетонал». Не пейте больше 2 таблеток или саше в сутки.
Немедленно запишитесь на прием к стоматологу — устранять повреждение нужно оперативно, чтобы оно не дошло до глубоких тканей.
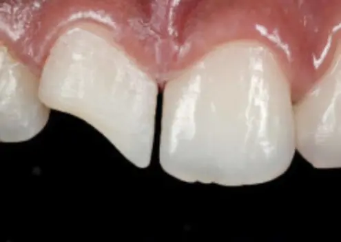
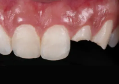
Сколы зубов различаются по глубине, площади поражения, локализации. От типа повреждения зависит тактика лечения.
При маленьких сколах на зубах повреждается эмалевый слой: внутренние ткани остаются целыми. При щербинке боли нет. Может быть повышенная чувствительность. Визуально их часто не видно только языком чувствуется шероховатость, неровность или углубление.
Небольшие сколы эмали часто сложно диагностировать, особенно если поверхностный слой отломался в межзубном промежутке. Необходима диагностика и своевременное лечение. Небольшие поверхностные повреждения могут вызывать кариес, привести к дальнейшему разрушению.
При среднем сколе разрушается дентин. Повреждения обширные, хорошо заметны: затрагивается от 30% до 50% площади. Дефект не доходит до пульповой камеры, корневой системы.
Средние отколы могут сопровождаться ноющей болью, повышенной чувствительностью, если зуб живой (витальный). Если из единицы ранее был удален нерв, то болезненность не возникает.
Большие сколы затрагивают эмалевый слой, дентин, пульповую камеру, в которой находится нерв. Дефект от 50% до 75% площади коронки.
Всегда возникает острая боль: ощущения пульсирующего зуба, усиливается к вечеру. В единицах без нерва болезненности может не быть. Иногда появляется кровь при травмировании пульпы.
Глубокие травмы относят не к истинным сколам, а к переломам. Площадь дефекта — минимум 75%. Проходит по всей поверхности от режущего или жевательного края до пришеечной зоны. Расколовшиеся части подвижные, шатаются. Если прикоснуться к ним языком, могут выпасть.
При глубоких сколах всегда появляется кровь, возникает сильная боль. Ее интенсивность зависит от наличия нерва внутри пульпы.
Трещины, расколы зубов появляются из-за разных факторов. Наиболее распространенные причины сколов:
1. Механические травмы
Это может быть падение, удар по лицу, автомобильная авария, столкновение при занятиях спортом. В быту чаще всего коронки скалываются, если открывать зубами упаковки, перекусывать нити, разгрызать твердые продукты или нечаянно стукнуть по эмали вилкой, ложкой.
2. Ослабление зубных тканей из-за кариеса
Кариозные поражения постепенно разрушают эмаль, дентин. Стенки коронки теряют прочность. Они легко ломаются даже при незначительных жевательных нагрузках.
3. Старые или некачественные пломбы
Если полимер неплотно прилегает к зубным стенкам, образуются зазоры. В них легко попадают бактерии, забиваются остатки еды. Это вызывает вторичный кариес.
4. Бруксизм
Непроизвольное скрежетание зубами во сне или из-за стресса приводит к истиранию эмали. В результате на ней образуются микротрещины. Из-за них при малейшей нагрузке зуб может треснуть.
5. Хрупкость эмали из-за недостатка питательных веществ
Сильнее всего на крепости эмалевого слоя сказывается дефицит фтора, кальция. Играет роль также нехватка витаминов D3, K2. Если человек недостаточно получает элементы с едой, водой, зубы становятся хрупкими, легко скалываются.
В стоматологии «Артдент» закрываем сколы высокоэстетичными, прочными, безопасными материалами: композитами, керамикой, металлокерамикой, цирконием. Проводим комплексную цифровую диагностику и составляем индивидуальный план лечения. Стараемся сохранить собственные зубы даже с большими и глубокими травмами.
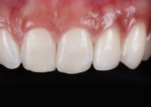
Художественная реставрация зуба светоотверждаемыми полимерами. Врач послойно наносит композит на единицу, воссоздает ее изначальную форму, цвет, функцию. Так лечат малые и средние сколы, когда сохранено 50–70% коронковой части.
Художественную реставрацию проводят за 1 визит, прямо во рту пациента. Поэтому такой метод еще называют прямым. Особенного мастерства требует закрытие сколов на передних зубах — установка композитных виниров. Срок службы таких пломб недолгий. В среднем через 3-5 лет они могут начать менять цвет, усаживаться.
При лечении сколов отталкиваемся от вида зубов и их функции. Для передних зубов важнее эстетика, для жевательных — прочность.
Индивидуально подбираем метод реставрации под ваш клинический случай. Используем авторские техники художественной реставрации. Даем гарантию на материалы и работу.
Реставрация керамическими винирами — лучший способ закрыть небольшие сколы, трещины на передних коронках. Они кардинально меняют эстетику улыбки, улучшают ее форму, цвет. Простоят 10–15 лет, что в 3–5 раз превышает срок службы композитных реставраций.
В стоматологии «Артдент» используем виниры для зубов двух типов: из прессованной керамики E-max и огнеупорные на рефракторе. Они очень тонкие — 0,3–0,75 мм, такие виниры выглядят максимально естественно благодаря ручному нанесению керамики. При этом прочные, не ломаются, не скалываются, не окрашиваются.
Восстанавливаем сколы винирами за 2 визита. Разрабатываем 3D-модель по 122 параметрам челюсти, чтобы идеально воссоздать форму ваших резцов и клыков. Выбираем из 20+ оттенков пластинок под цвет вашей кожи, глаз, губ, формы лица.
Даже самый незначительный скол эмали нарушает целостность зуба. Со временем в микротрещину проникают бактерии. Они вызывают кариес, который разрушает единицу изнутри.
Поэтому не стоит откладывать визит к врачу. Чем раньше вы обратитесь за помощью, тем проще, быстрее и дешевле пройдет восстановление.
Когда повреждено свыше 50% площади зуба, лучше установить коронку. Она накрывает единицу, предотвращает ее дальнейшее разрушение. Корневая система должна быть целой. При сильном повреждении в зуб устанавливается вкладка для укрепления. Для передних единиц используют штифт из композитных материалов. Для боковых — культевую вкладку из металлических или циркониевых сплавов. Стоматолог выбирает материал коронки в зависимости от группы зубов: керамика E-max для фронтальных, а диоксид циркония или металлокерамика для жевательных.
В нашей клинике моделируем процесс и воссоздаем микрорельеф единицы с точностью до 0,01 мм в собственной цифровой лаборатории CAD/CAM.
Затем зубной техник обтачивает каждый бугорок, чтобы коронка была не только красивой, но и удобной при жевании. Установка коронки на зуб в «Артдент» занимает всего 2 визита.
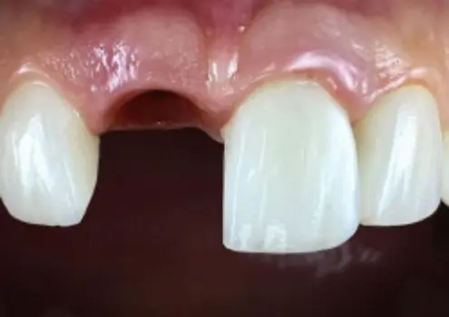
Глубокие или запущенные сколы, которые привели к перелому корня зуба, невозможно отреставрировать. Придется провести удаление.
А на место извлеченной единицы поставить титановый имплант зуба с коронкой.
Он полностью восстанавливает функцию, форму, цвет. Предотвращает смещение соседних единиц, рассасывание костей челюсти.
Если восстановить зуб невозможно, лучшее решение — имплантация. Для таких случаев в «Артдент» предлагаем современные протоколы восстановления. В том числе при полной потере делаем все зубы за один день по технологии одномоментной нагрузки на 4 или 6 имплантах.
Также используем базальные импланты для сложных клинических ситуаций: при дефиците кости, пациентам с диабетом, остеопорозом.
Сколы и трещины, даже самые маленькие, всегда со временем приводят к последствиям. Без своевременного восстановления возможно развитие следующих осложнений:
1. Кариес
Повреждения на эмали и дентине приводят к инфицированию. Бактерии скапливаются в трещинах, щербинах, развивают кариозные поражения.
2. Пульпит
Развивается после кариеса при дальнейшем разрушении зуба. Когда оно доходит до пульповой камеры, воспаляется нерв и появляется сильная боль.
3. Периодонтит
Последствия пульпита. Если не удалить поврежденный нерв вовремя, воспаление и инфекция перейдут на верхушку корней. Когда они выходят за их пределы — образуется гранулема или киста (небольшая капсула с гноем).
4. Раскол корня
Трещина в зубе постепенно увеличивается. Это провоцирует поломку корня — в таком случае единицу уже не спасти, приходится ее удалять.
5. Заболевания десен
На сколотых коронках обильно скапливаются бляшки налета и пигментов. Постепенно они твердеют, превращаются в зубной камень. Он вызывает воспаление десен — гингивит или пародонтит.
6. Смещение соседних зубов
Если коронка разрушена под корень или ее придется удалить, соседние единицы начнут понемногу сдвигаться в сторону пустующего места.
7. Проблемы с прикусом и височно-нижнечелюстным суставом (ВНЧС)
По мере сдвигания зубов нарушается правильное смыкание нижней и верхней челюсти — окклюзия. Это приводит к неравномерному распределению нагрузки во время жевания, перегрузке зубных корней и ВНЧС. Со временем развивается дисфункция челюстного сустава.
Не игнорируйте даже незначительный скол — это может привести к полной потере зуба.
Лечение осложнений всегда сложнее, дольше и дороже, чем своевременное устранение небольшого дефекта. Не рискуйте своим здоровьем!
6 простых советов, которые уберегут ваши зубы от трещин и повреждений:
Регулярно проходите профилактические осмотры и профессиональную гигиену в стоматологии «Артдент». На консультации врач заметит микротрещины и устранит их до того, как они приведут к сколу. Профчистка снизит риск развития заболевания зубов и десен, которые могут вызвать их разрушение.
Улучшите ежедневную гигиену. Покупайте пасты средней или низкой абразивности. Средства укрепят эмаль и не будут ее царапать. Не применяйте жесткие щетки. Пользуйтесь ирригатором: он в разы уменьшает вероятность возникновения кариеса.
Используйте каппы во время занятий спортом или во сне, если у вас бруксизм. Силиконовые накладки смягчат удары, трения, защитят коронки от повреждений.
Своевременно лечите кариес и меняйте старые пломбы. Это предотвратит ослабление и поломку стенок зубов.
Откажитесь от вредных привычек. Не разгрызайте орехи, семена в скорлупе. Откажитесь от зубочисток — ими легко травмировать десны, эмаль, замените их на зубную нить.
Питайтесь сбалансировано. Рацион должен быть богатым и разнообразным. Включайте продукты с высоким содержанием витаминов D3, K2, фтора, кальция: яйца, рыбу, морепродукты, овощи, зелень, фрукты.
Врачи стоматологии «Артдент» в Нижнем Новгороде восстанавливают любые виды сколов: быстро, без боли, с гарантией на протезы и работу врача на 2 года.
Приходите на бесплатную консультацию и комплексную цифровую диагностику.
Запишитесь в клинику, которая находится ближе к вам:
• ул. Совнаркомовская, д. 38;
• ул. Белинского, д. 58/60 пом. 35.
Пн.-Сб.: с 8:00 до 20:00, Вс.: с 8:00 до 18:00
Нет. Если скол мелкий или зуб уже без нерва, никакой боли вы не почувствуете. Если нерв сохранен или повреждение крупное, все процедуры проводят под безопасной, эффективной анестезией.
Зависит от метода восстановления. Художественная реставрация композитными материалами занимает не больше часа. Протезирование накладками, винирами или коронками проходит в 2 визита продолжительностью 30-60 минут.
Обязательно показать детскому стоматологу. Игнорировать проблему нельзя. Любые повреждения молочных зубов сказываются на зачатках коренных и могут привести к их разрушению.
Зависит от типа скола, но в любом случае откладывать лечение нельзя. При маленьких и средних повреждениях можете записаться планово: в свой выходной. При больших трещинах или переломе корня обращайтесь в клинику сразу же. Когда будете звонить в клинику, говорите, что попасть на прием нужно срочно, так как сломан зуб и есть острая боль.
Стоматологи «Артдент» рекомендуют предварительно снять налет пескоструйной и ультразвуковой чисткой. Это улучшит видимость: врач сможет лучше восстановить форму и цвет зуба. Также профессиональная гигиена снизит риск инфекций, улучшает краевое прилегание пломбы или протеза.
Мы используем cookie, подробнее