Звонят другие стоматологии?

остерегайтесь мошенников!

остановить спам!
+7 (831) 214-10-66
4 клиники в Нижнем Новгороде
4 клиники в Нижнем Новгороде
Пн.-Сб.: с 8:00 до 20:00,
Вс.: с 8:00 до 18:00

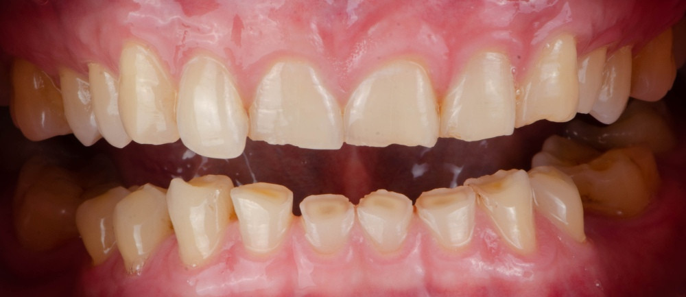
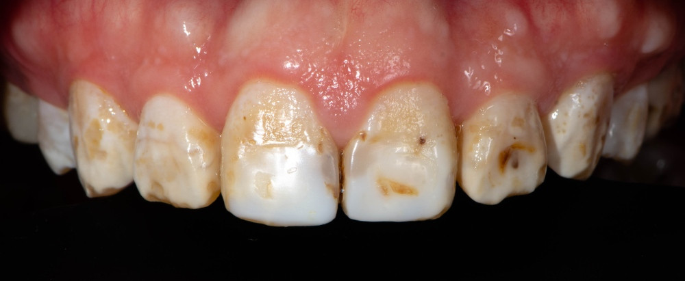
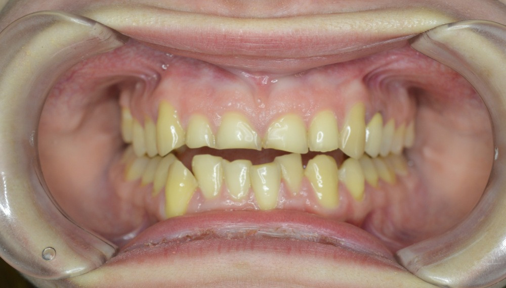
Стираются зубы — что делать?

Стираемость зубов — это не только эстетическая неприятность, когда улыбка теряет привлекательность. Это прежде всего медицинская ситуация, связанная с разрушением твёрдых тканей зуба: эмали и дентина. Если высота прикуса снижается, нарушается работа всей зубочелюстной системы, а со временем появляются боль, осложнения.
Современная стоматология успешно решает эту задачу. В клинике Артдент применяются комплексные методы диагностики и лечения, позволяющие сохранить зубы, восстановить их форму, вернуть уверенность в улыбке.
Стираются зубы — что делать?

Мы используем cookie, подробнее