Звонят другие стоматологии?

остерегайтесь мошенников!

остановить спам!
+7 (831) 214-10-66
4 клиники в Нижнем Новгороде
4 клиники в Нижнем Новгороде
Пн.-Сб.: с 8:00 до 20:00,
Вс.: с 8:00 до 18:00

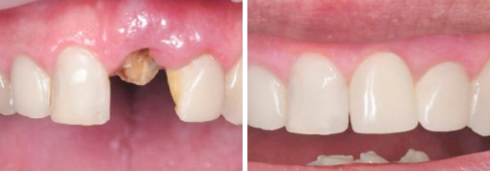
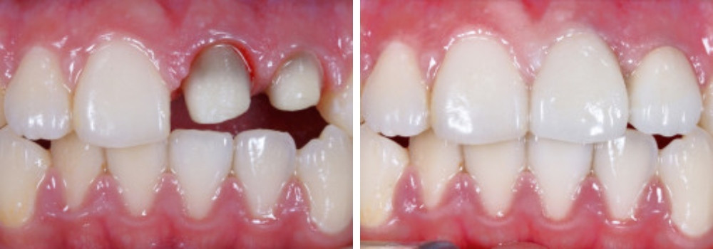
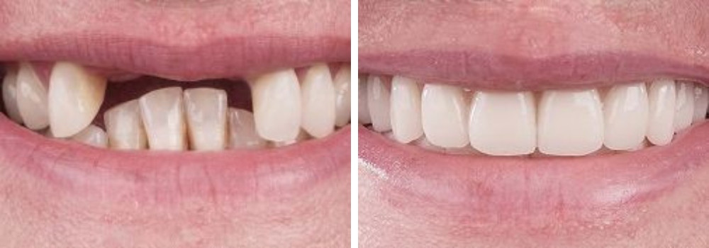
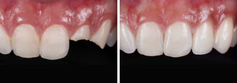
Вставить зуб

У вас раскрошился зуб или его вовсе пришлось удалить? Проблема серьезная. Но не переживайте. Стоматологи Центр лазерной стратегической имплантации Артдент знают, как всего за пару визитов полностью восстановить вашу улыбку! Реабилитируем любые зубы: частично, полностью разрушенные или отсутствующие. Применяем высокоэстетичные, прочные материалы, которые служат десятилетиями. Ставим все виды протезов: с опорой на свои корни или на импланты, а также съемные.
Вставить зуб

Мы используем cookie, подробнее