Звонят другие стоматологии?

остерегайтесь мошенников!

остановить спам!
+7 (831) 214-10-66
4 клиники в Нижнем Новгороде
4 клиники в Нижнем Новгороде
Пн.-Сб.: с 8:00 до 20:00,
Вс.: с 8:00 до 18:00

Практикует в России и за рубежом

Регулярно проходит дополнительное обучение и курсы повышения квалификации
Стаж:
9 лет
Опыт:
4 500+ работ
Буланова Ксения Алексеевна в клинике ARTDENT

Образование и повышение квалификации

Образование
Ивановская Государственная медицинская академия (Стоматология)
Курсы
Окклюзионная коррекция методом избирательного пришлифовывания зубов при реставрациях и заболеваниях парадонта
Диагностика и планирование стоматологического лечения
Применение анализатора HIP-плоскости в диагностике, планировании и проведении ортопедического и ортодонтического лечения
Показать еще

Лицензии и сертификаты

Примеры работ и отзывы пациентов

4 500+ работ с 2017 года
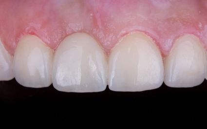
работы наших врачей
работы наших врачей
Пациент +7-910-24XXXXX
Отзыв с doctu.ru

Ни разу не пожалела, что попала в руки Ксении Алексеевны. Очень приветливая девушка, грамотно и понятно все объясняла, результат мне очень нравится. Коронки аккуратные и удобные. Советую врача!

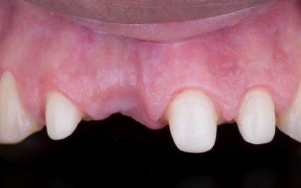
работы наших врачей
работы наших врачей
Пациент +7-960-12XXXXX
Отзыв с zoon.ru

Ксения Алексеевна, грамотный специалист в своей области. Все подробно мне разъяснила и показала на фото, предложила различные варианты решения проблемы. Составили четкий план лечения. Очень внимательная и доброжелательная! Лечение проходит безболезненно и быстро. Однозначно, рекомендую!

работы наших врачей
работы наших врачей
Пациент +7-910-68XXXXX
Отзыв с ya.ru

Выражаю благодарность Ксении Алексеевне за прекрасные протезы. Смотрятся очень натурально и красиво, удобные. Не знал, что в и 75 лет можно получить хорошие зубы. Теперь очередь жены. Доктор внимательно относится к пациенту, все объясняет столько раз, сколько нужно. Очень рекомендую обратиться к Ксении Алексеевне!

Мы используем cookie, подробнее