Звонят другие стоматологии?

остерегайтесь мошенников!

остановить спам!
+7 (831) 214-10-66
4 клиники в Нижнем Новгороде
4 клиники в Нижнем Новгороде
Пн.-Сб.: с 8:00 до 20:00,
Вс.: с 8:00 до 18:00

Практикует в России и за рубежом

Участник международных стоматологических мероприятий
Стаж:
10 лет
Опыт:
5 000+ работ
Есенин Алексей Сергеевич в клинике ARTDENT

Образование и повышение квалификации

Образование
Стоматологический факультет ПИМУ
Ординатура по ортопедической стоматологии ПИМУ
Курсы
Реабилитация пациентов стоматологического профиля
Прямая композитная реставрация передних зубов
Показать еще

Лицензии и сертификаты

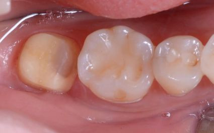
Примеры работ и отзывы пациентов

5 000+ пациентов с 2019 года
работы наших врачей
работы наших врачей
Пациент +7-934-12XXXXX
Отзыв с ya.ru

Есенин-профи. На данный момент больше года прошло с момента как поставили коронку, испытание временем пройдено и я делаю уверенный вывод, что все сделано на совесть. Зуб, на который сделали коронку, один из самых основных, каждый день он жует пищу и никаких неудобств от коронки нет, еда не застревает нигде и изменений внешних за год тоже нет, только с момента протезирования я более тщательно начал ухаживать за зубами, врач этот момент хорошо объяснил, как важно хорошо чистить зубы когда есть коронки. Везде были бы такие врачи...

работы наших врачей
работы наших врачей
Пациент +7-920-78XXXXX
Отзыв с ya.ru

Ставила коронки у Алексея Сергеевича, осталась очень довольна. Говорит все четко и по делу, делает все тщательно. Коронки подошли идеально, как родные. Очень рекомендую доктора. Хочу записать своего мужа в клинику «Артдент» именно к Алексею Сергеевичу.

работы наших врачей
работы наших врачей
Пациент +7-921-56XXXXX
Отзыв с 2gis.ru

Во время еды разрушился зуб, откололась часть. Записалась в арт-дент по совету мужа. Как сказали, пломбой уже не восстановить, слишком сильно поврежден зуб. Направили к ортопеду Есенину Алексею. Он восстановил мне зуб коронкой и выглядит она отлично, ее невозможно заметить, если не знать!!! Результат даже лучше, чем предполагала. Большое спасибо Алексею!!!

Мы используем cookie, подробнее