Звонят другие стоматологии?

остерегайтесь мошенников!

остановить спам!
+7 (831) 214-10-66
4 клиники в Нижнем Новгороде
4 клиники в Нижнем Новгороде
Пн.-Сб.: с 8:00 до 20:00,
Вс.: с 8:00 до 18:00

Практикует в России и за рубежом

Имеет большой опыт работы с разными клиническими случаями
Стаж:
4 года
Опыт:
2300+ работ
Тихомирова Анастасия Алексеевна в клинике ARTDENT

Образование и повышение квалификации

Образование
Стоматологический факультет ПИМУ
Курсы
Базовые аспекты ортопедической стоматологии
Эндодонтия Step by Step
Актуальные вопросы в терапевтической стоматологии
Современные аспекты эстетики улыбки в практике стоматолога-терапевта
Показать еще

Лицензии и сертификаты

Примеры работ и отзывы пациентов

3 500+ пациентов с 2022 года
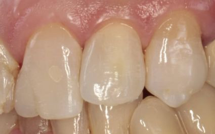
работы наших врачей
работы наших врачей
Пациент +7-930-78XXXXX
Отзыв с ya.ru

Обратился в клинику с больным зубом, разболелся сильно. Оказалось, кариес уже достаточно глубокий. Понравилось, что врач сразу показал снимок и объяснил, что происходит с зубом и какие есть варианты лечения. После лечения ничего не болело, чувствительность ушла. Для меня это идеальный вариант: пришел с проблемой, ушел, забыв о ней.

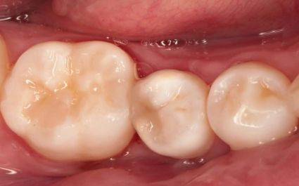
работы наших врачей
работы наших врачей
Пациент +7-918-56XXXXX
Отзыв с doctu.ru

Я всегда переживаю перед лечением зубов, поэтому долго откладывала визит. Когда всё-таки пришла, оказалось, что кариес уже затронул несколько поверхностей зуба. Врач очень спокойно всё объяснили сделал максимально бережно. После этого опыта страх перед стоматологом стал гораздо меньше. Теперь понимаю, что главное не тянуть и попадать к внимательным специалистам.

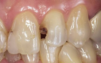
работы наших врачей
работы наших врачей
Пациент +7-932-90XXXXX
Отзыв с zoon.ru

Коронки понадобились из-за сильного разрушения зубов,пломбы уже не держались. Для меня было важно, чтобы зубы выглядели естественно. Ортопед подробно рассказал о вариантах коронок, объяснил разницу между материалами и помог подобрать оптимальный вариант. После установки коронок привыкла к ним буквально за пару дней. Сейчас зубы выглядят аккуратно, жевать удобно, ничего не мешает.

Мы используем cookie, подробнее