Звонят другие стоматологии?

остерегайтесь мошенников!

остановить спам!
+7 (831) 214-10-66
4 клиники в Нижнем Новгороде
4 клиники в Нижнем Новгороде
Пн.-Сб.: с 8:00 до 20:00,
Вс.: с 8:00 до 18:00

Практикует в России и за рубежом

Применяет индивидуальный подход в работе с пациентами
Стаж:
3 года
Опыт:
2000+ работ
Кучеренко Алексей Сергеевич в клинике ARTDENT

Профиль лечения

Пластика уздечек губ и языка
Пластика мягких тканей в Нижнем Новгороде
Костные пластические операции
Костные пластические операции в Нижнем Новгороде
Лазерная хирургия
Лазерная хирургия в Нижнем Новгороде
Закрытие рецессий
Закрытие рецессий в Нижнем Новгороде

Образование и повышение квалификации

Образование
Стоматологический факультет ПИМУ
Курсы
Клинические протоколы предсказуемой имплантации
Основы протезирования на имплантах
Пластика мягких тканей в области имплантатов: современные стратегии достижения хорошего долгосрочного биологического и эстетического результата
Теоретические и практические основы успешного имплантирования и протезирования
Показать еще

Лицензии и сертификаты

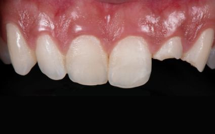
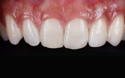
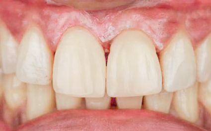
Примеры работ и отзывы пациентов

2 000+ пациентов с 2023 года
работы наших врачей
работы наших врачей
Пациент +7-930-78XXXXX
Отзыв с ya.ru

Зуб был удален давно, и со временем стало понятно, что без импланта соседние зубы начали испытывать лишнюю нагрузку. На консультации врач подробно объяснил весь процесс: от установки импланта до финальной коронки. Понравилось, что ничего не навязывали и честно рассказали о сроках и возможных ощущениях. Сама операция прошла быстро и без боли. Больше переживал до, чем во время. Восстановление прошло спокойно, без осложнений. Сейчас имплант полностью прижился, коронка ощущается как свой зуб жевать удобно, дискомфорта нет. Если бы знал, что все пройдет настолько спокойно, решился бы намного раньше.

работы наших врачей
работы наших врачей
Пациент +7-918-56XXXXX
Отзыв с doctu.ru

Мне устанавливали 2 импланта на месте жевательного зуба. Сначала думала ограничиться мостом, но после консультации поняла, что имплантация более надежный вариант, без обточки соседних зубов. Врач очень подробно рассказал про этапы лечения и восстановление. Это помогло снять тревогу. Процедура прошла аккуратно, без боли, послеоперационный период тоже оказался легче, чем я ожидала. Очень рада, что выбрала именно этот способ восстановления, он оказался комфортным и понятным.

работы наших врачей
работы наших врачей
Пациент +7-932-90XXXXX
Отзыв с zoon.ru

Удаление зуба для меня всегда было самым страшным стоматологическим вмешательством. Шла на прием с большим напряжением, потому что зуб был сложный, с воспалением. Врач сразу успокоил, подробно объяснил, как будет проходить удаление и какие ощущения возможны. Во время процедуры всё прошло быстро и аккуратно, боли я практически не почувствовала.После удаления дали понятные рекомендации, врач был на связи, контролировал заживление.

Мы используем cookie, подробнее