Звонят другие стоматологии?

остерегайтесь мошенников!

остановить спам!
+7 (831) 214-10-66
4 клиники в Нижнем Новгороде
4 клиники в Нижнем Новгороде
Пн.-Сб.: с 8:00 до 20:00,
Вс.: с 8:00 до 18:00

Практикует в России и за рубежом

В работе применяет современные методы
Стаж:
6 лет
Опыт:
3500+ пациентов
Тихомирова Анастасия Алексеевна в клинике ARTDENT

Профиль лечения

Пластинки
Исправление прикуса в Нижнем Новгороде ARTDENT
Съемные ортодонтические аппараты
Съемные ортодонтические аппараты в Нижнем Новгороде ARTDENT
Несъемные ортодонтические аппараты
Несъемные ортодонтические аппараты в Нижнем Новгороде ARTDENT

Образование и повышение квалификации

Образование
Стоматологический факультет, ПГУ
Ординатура по ортодонтии
Курсы
Цифровое моделирование ортодонтических аппаратов
ОБУЧЕНИЕ ПРОГРАММИРОВАНИЮ И ИЗГОТОВЛЕНИЕ ЭЛАЙНЕРОВ
Элайнеры: от моделирования до термоформования
Этапы лечения самолигирующей брекет-системой: от первой дуги до завершения
ПОДГОТОВКА К ПРОТЕЗИРОВАНИЮ. ОРТОДОНТИЧЕСКИЕ ТРЮКИ НА ПРАКТИКЕ
Планирование ортопедического лечения и подготовка зубов к протезированию из цикла семинаров «Базовая ортопедия»
Эстетическая коррекция фронтальной группы зубов после ортодонтического лечения
Ортодонтические CAD / CAM аппараты
ЛЕЧЕНИЕ САГИТТАЛЬНЫХ АНОМАЛИЙ У ДЕТЕЙ И ПОДРОСТКОВ. САГА О ПЛАСТИНКАХ И НЕ ТОЛЬКО
Показать еще

Лицензии и сертификаты

Примеры работ и отзывы пациентов

3 500+ пациентов с 2020 года
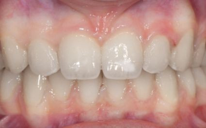
работы наших врачей
работы наших врачей
Пациент +7-930-78XXXXX
Отзыв с ya.ru

Решиться на брекеты во взрослом возрасте было непросто. Казалось, что уже поздно, что будет неловко, неудобно, заметно. Но проблемы с прикусом начали сказываться не только на внешнем виде, но и на состоянии зубов, и я поняла дальше тянуть нельзя. На консультации ортодонт подробно рассказала о вариантах брекет-систем, сроках лечения и ожидаемом результате. Очень понравилось, что ничего не приукрашивали: честно объяснили, что будет период привыкания и что результат требует терпения. Первые недели были непривычными, но все оказалось гораздо легче, чем я ожидала. На каждом приеме врач объясняла, что происходит и зачем. Постепенно я начала замечать изменения зубы двигались, улыбка становилась ровнее. Я вижу разницу не только на фото до и после, но и в ощущениях. Стало комфортнее жевать, исчезло напряжение в челюсти, появилась уверенность. Очень рада, что решилась,это инвестиция в себя, которая точно того стоит.

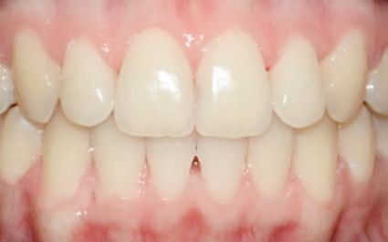
работы наших врачей
работы наших врачей
Пациент +7-918-56XXXXX
Отзыв с doctu.ru

Если честно, долго относился к брекетам скептически. Казалось, что это больше история для подростков. Но со временем начались проблемы: стирались зубы, появилась нагрузка на челюсть, врач прямо сказала, без ортодонтического лечения дальше будет только хуже. На первичном приёме все объяснили максимально понятно: показали снимки, рассказали, как будет идти лечение, сколько времени займет и что потребуется от меня. Понравился деловой, спокойный подход без лишних обещаний. После установки был период адаптации, но он быстро прошел. В обычной жизни брекеты не мешают, к ним реально привыкаешь. Регулярные приемы, коррекции. Зубы выровняли, прикус изменился, пропало ощущение постоянного дискомфорта. Понимаю, что сделал правильный выбор и что это не про эстетику, а в первую очередь про здоровье.

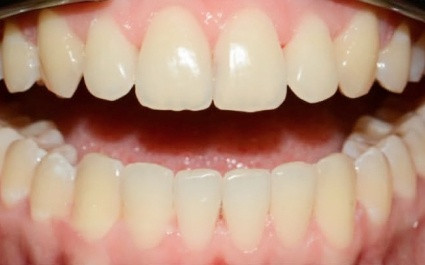
работы наших врачей
работы наших врачей
Пациент +7-932-90XXXXX
Отзыв с zoon.ru

Я всегда стеснялась улыбаться широко,зубы были неровные, и это бросалось в глаза. Долго сомневалась, потому что боялась, что брекеты будут сильно заметны и испортят внешний вид. Но после консультации страхи ушли. Врач помогла подобрать брекет-систему, рассказал про этапы лечения и объяснил, как ухаживать за зубами во время ношения. Да, бывали моменты, когда чувствовалось давление после активаций, но я понимала, что это временно и вполне терпимо. Зато каждый месяц я вижу изменения, зубы становятся ровнее, улыбка уже сейчас выглядит совсем по-другому. Я еще в процессе лечения, но уже понимаю, что это было одно из лучших решений. Появилась уверенность в себе, перестала закрывать рот на фото и стала чаще улыбаться, а ради этого точно стоило начать.

Мы используем cookie, подробнее